近日,苏州堪赛尔(Cancer-cell)医学检验有限公司(以下简称“苏州堪赛尔”)完成千万元天使轮融资,本轮融资由创谷资本独家投资,于安徽省苏滁产业园设立生产实验室。
融资所得将用于对公司多年来开发的专利技术产品,如组织固定液、常规和特殊染色液、硬组织切片耗材、IHC自动染色系统和智能诊断系统进行规范化生产和推广,从而更好地为GLP体系化CRO机构及医疗单位提供注册级医疗器械耗材,助推我国实验病理学和临床病理学的发展。
拥有完整的中美双报体系,曾为美国Namsa中国实验室唯一病理技术与诊断代理商
苏州堪赛尔创立于2014年,早年从事病理技术产品研发,后转型为以病理技术与诊断服务为主,2018年成为美国Namsa中国实验室唯一病理技术与诊断代理商,2020年并购于江苏博赛孚(Bio-safety)医疗科技有限公司,在完整的中美双报体系下开展医疗器械临床前一站式服务,并继续承接科研单位、CRO和研发型企业的病理技术及诊断服务。
堪赛尔拥有一支集组织固定液/染色液等专利产品研发基础、药械临床前病理诊断标准化体系积累、染色结果智能化分析开发于一体且综合实力较强的病理技术科研团队。首席科学家王守立早年毕业于四川大学华西临床医学院(原华西医科大学),师从著名病理学家杨光华教授;先后在安徽省立医院、苏大附属医院、中科院健康研究所和美国华盛顿大学从事病理学诊断、教学和科研工作;是原美国Namsa中国实验室首席病理学家和毒理学家,负责签发亚太片区植介入医疗器械临床前研究报告提交FDA。目前,王守立为苏州大学苏州医学院/中国科学院大学宁波生物材料研究院教授、博士生导师,国家药监局医疗器械评审专家委员会委员、中国毒理学会毒性病理委员会常务委员、中国研究型医院学会医学动物实验专委会副主任委员。

2024年第八届未来医疗生态展会的医疗器械设计与制造论坛,王守立教授做题为《如何加快我国医疗器械的创新与转化效率》
2018年堪赛尔与苏州大学共建了“毒性病理学重点实验室”,为病理技术团队建设储备人才。此外,团队还拥有硕士及以上学位研发人员十余名。迄今,团队已发表SCI论文五十余篇,主持完成国自然面上项目3项和参与科技部重大研发项目3项,建立健全了四十余种三类医疗器械临床前评价方案和病理/毒理学评价标准,并已得到美国FDA验证,主要产品类型为结构性心脏病(血管支架、瓣膜、人工血管)、骨科植入物和医美高能量设备。
致力于新型组织病理技术与诊断产品研发生产,推动药械临床前病理学评价的标准化和国际化进程
随着医疗器械不良事件的逐年递增,各国政府的监管体系和力度也在不断完善和加强,CRO机构体系化认定和技术人员资格监管也在逐渐落实。
但目前,相对于欧美日等发达国家,我国医疗器械临床前CRO机构在基础设施、仪器设备、人员配置及体系化标准化等方面均存在一定差距,具有国际认可的检测机构更是凤毛麟角。由于不同于药物临床前评价,医疗器械的安全性和有效性评价很大程度上依赖于组织病理技术与诊断,提高病理技术和诊断水平才有望保证评价报告的专业性和权威性。如今,虽然很多CRO机构开展了常规病理业务(HE染色和显微镜诊断),但普遍需求的特殊染色、免疫组织化学(IHC)、图像分析及硬组织切片等诸多技术(如下表所示)的开展却受限于相关耗材的供应。堪赛尔本轮融资旨在解决这一问题,以满足标准化运营企业暨GLP体系化CRO及医疗单位的质控要求。

病理技术与诊断常见业务类型和内容
堪赛尔在2018年成为美国Namsa中国实验室病理服务代理商以来,在GLP体系运用过程中,因耗材的多样性及质量的不稳定性增加了管理成本和FDA注册难度。本轮融资将常规病理技术耗材的生产及质控合规化,为具有GLP体系的药械CRO机构、具有CNAS体系的医学检测公司及医疗单位提供了合规耗材供货途径。


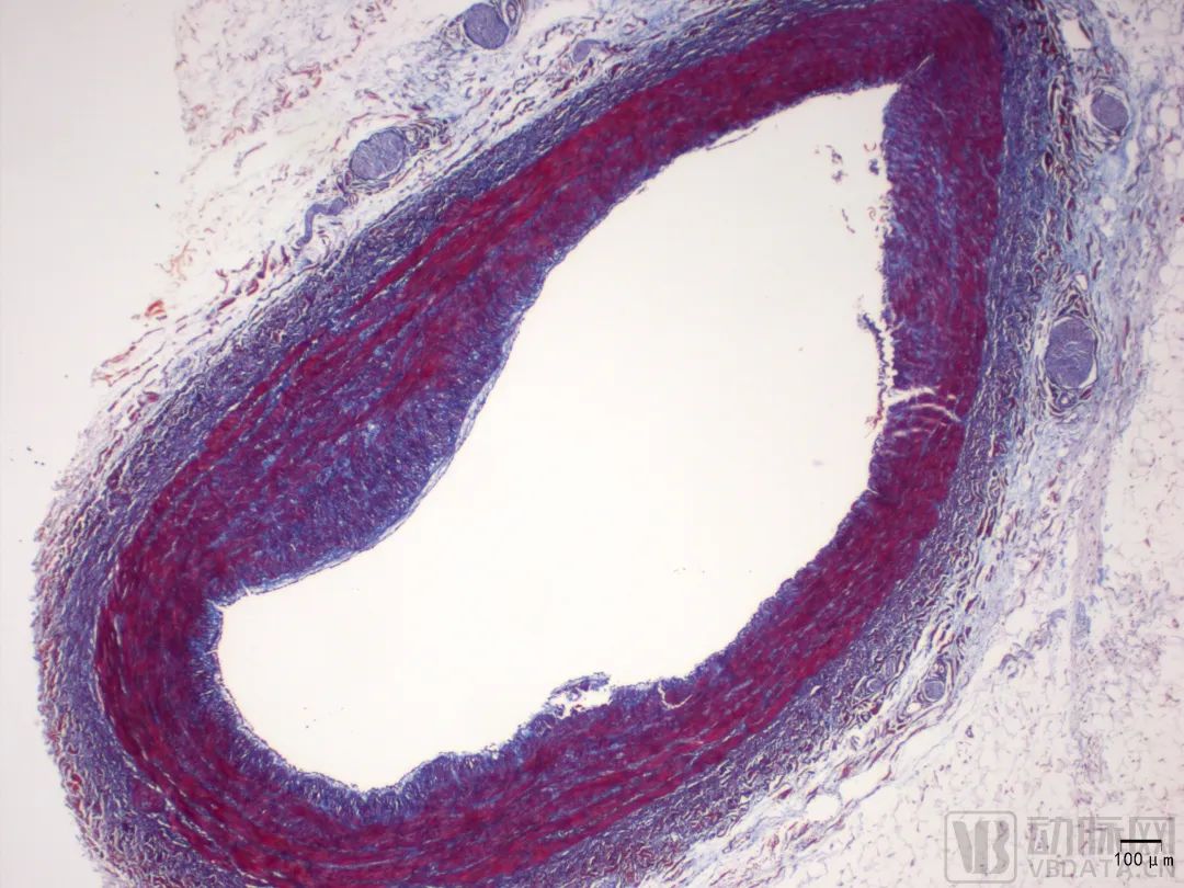
自主研发的特殊染色试剂显示心脏瓣膜(Movat染色 上图)和血管( Masson染色 下图)
通过产品的技术创新,比如通用型组织细胞固定液(专利号201911335152.6)、脑组织固定液(专利号201911335152.6)和骨组织脱钙液(专利号201911335152.6),除了摒弃了传统福尔马林固定液的刺激性和毒性外,在样本后续进一步检测(如免疫组化)应用时减少了对组织的处理环节,降低了抗原修复的难度,保证了检测结果的可靠性。



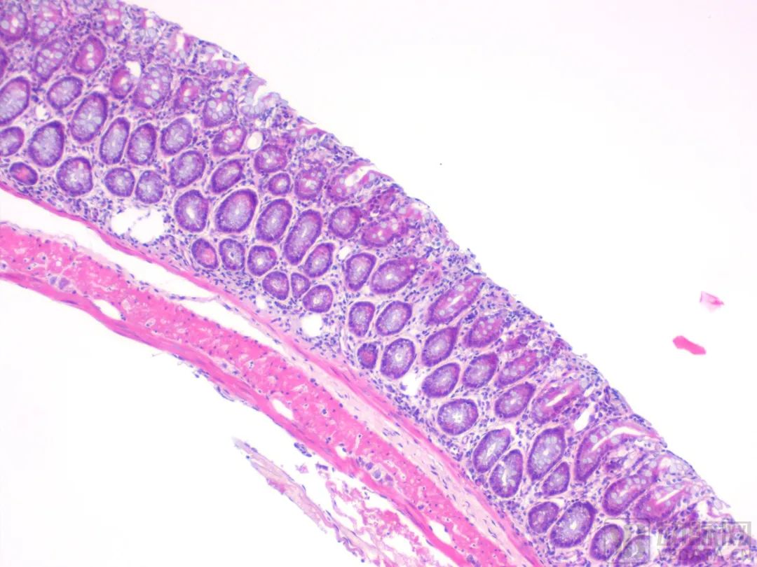
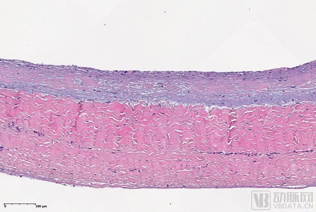
公司专利技术(组织固定液)制备的HE染色肠粘膜组织(上)、心脏瓣膜赘生物(中)和免疫组化染色(下)
随着我国新材料的发展和应用,近年来从德国引进的硬组织切片技术平台已达百家以上,但由于进口耗材成本较大,加之技术培养成本较高,导至不少平台运营停滞。堪赛尔团队联合国际该领域相关专家共同开发的光固化包埋剂、粘合剂等经过长期验证,结果显示质量稳定可靠,有望实现进口取代。同时立足光固化剂成果开发的光固化封片机,有望解决目前中性树胶封片存在的毒性、易燃和干燥时长等问题。

用自主研发的光固化包埋剂进行硬组织切片显示的牙骨组织植入物
此外,立足大量动物病理诊断的数据资源,堪赛尔有望率先推广药械临床前病理学评价的智能化诊断系统。
面向未来,苏州堪赛尔将致力于新型组织病理技术与诊断产品的研发与生产,推动药械临床前病理学评价的标准化和国际化进程。随着产品专业化和诊断体系标准化的品牌提升,堪赛尔有望通过远程病理技术平台实现以点带面、辐射全国的网络化多中心服务,助推中国的科技成果转化能力建设及临床前病理学评价的国际话语权。
创谷资本:“随着我国医疗器械行业自主创新及国产替代进程的加速,以及患者医疗需求的增加,推动医疗器械行业快速发展,从而催生了相关CRO的迫切需求。目前国内以药物安评CRO、临床研究和注册服务性CRO居多,而医疗器械CRO较少,布局临床前生物学评价及大动物实验的CRO企业更加稀缺。本轮投资后希望能加速堪赛尔多年病理技术研发成果的转化和落地,填补CRO企业耗材非体系化质控的空白;同时病理技术相关耗材的创新研发,有望提高病理科国有耗材的占有率。堪赛尔落地安徽省中新苏滁产业园,将助力滁州地区打造医疗器械特色产业集群,是长三角一体化进程的实践创新案例。”
安徽创谷股权投资基金管理有限公司(以下简称“创谷资本”)成立于2017年12月,是安徽省投资集团为落实“全创改”方案和省级股权投资基金体系建设要求,在借鉴国内一流国有投资机构改革成功经验基础上,由省高新投公司与管理团队联合发起设立的市场化基金管理公司。创谷资本紧紧围绕“重实践、建新功”的总要求,以高质量发展为主题、以高效率协同为抓手、以高标准遴选为基石、以高水平开拓为格局,面对安徽省政府引导基金体系从“基本由国企管理”向“多元化机构管理”转变的新形势,创谷资本争取到智能家电(居)、雏鹰专项计划母基金,贯彻新发展理念之道、激活竞争力塑造之源,设立工作专班、引进专业复合人才,扎实开展子基金遴选工作;优化公司组织架构,培养骨干发挥特长,合理匹配人力资源;坚定市场化改革道路,制定符合市场的治理制度,不断完善运营机制;提升软硬件设施,实现了稳中求进。截至目前管理29支基金,计划规模189亿,实缴规模近89亿元,投资项目逾200个,总投资额超70亿元(其中上市20个),超80个项目实现后轮融资,有效践行全面创新改革、服务科技创新创业、推动安徽产业升级的使命,向“代表安徽形象的品牌投资机构”迈出坚实的步伐。