基因检测是一种通过血液、其他体液或细胞来检测DNA的技术。先从被检测者提取其外周血或组织细胞,然后将里面的基因信息扩增,再通过专业设备检测其中的DNA分子信息,分析基因类型和存在的基因缺陷,也可判断其表达功能是否完整。
随着个体化医学的发展和"精准医学"概念的提出,肿瘤基因检测技术发展迅速。传统的基因突变检测方法如 Sanger 测序、焦磷酸测序和实时荧光 PCR 等仅能对单个基因,或者单个基因的部分外显子突变进行检测,采用上述传统基因突变检测方法同时检测多个基因,一则需要的样本量大,其次需要更长的检测时间和更大的工作量。
高通量测序即下一代测序(NGS),能够同时对上百万甚至数十亿个 DNA 片段进行测序,可实现在较低的成本下,一次对多至上百个肿瘤相关基因、全外显子以及全基因组进行检测,而且需要的样本量并不增加。因其在通量、成本和效率方面的优势,NGS 在实体肿瘤体细胞基因突变中展现了其广阔的应用前景。
比起“冷酷无情”的放/化疗疗法,靶向药治疗更加可靠、贴心。
然而肿瘤靶向药并不适用于所有患者,也绝非任何癌种皆可,临床端需要从患者的基因构成,即从根源上找到癌症的发病原因,才能知道哪一款靶向药更适合患者,从而达到满足最佳疗效的同时将药物带来的副作用降到最低。
而基因检测就是帮助患者排查个体发病原因的关键手段。
理论上,所有肿瘤患者都可以根据自身情况,如:不同癌种、不同分期、不同经济条件,接受不同种类的基因检测。但并不是一定要做。
随着国内外靶向药队伍的不断扩充升级,几乎所有的癌症都有靶向药可选。“世界第一”癌种——肺癌,因为其发病率及死亡率都高居世界癌症排行榜第一位,给全球健康带来了严重的负担。
因此,其获批的靶向药相对来说也是最多的,研究发现的对应靶点也最多。除此之外,其他常见癌症如乳腺癌、胃癌、卵巢癌等也有很多靶向药可用。
理论上,在患者没有发生癌症复发、转移和耐药的情况下,基因检测只需要做一次即可。但如果出现复发、转移和耐药,则意味着可能发生了新的突变。因此,在条件允许的情况下,临床会建议进行二次检测或重复多次检测,以便及时明确其机制,为后续治疗及判断预后提供依据。
目前,肿瘤基因检测在临床上主要用于癌症风险筛查以及指导癌症治疗。
据报道,安吉丽娜·朱莉通过基因检测得知有87%的可能性得乳腺癌、50%可能性得卵巢癌,因此她选择了预防性切除双乳术,使乳腺癌患病风险从87%降到了5%。同样的,乔布斯的医生团队根据他的基因检测结果为其选择了特定治疗药物,使他在确诊胰腺癌后,活了八年之久,堪称奇迹。
目前市场上肿瘤基因检测产品主要分为“治疗指导”与“癌症风险筛查”两类,通常以基因检测目的或者基因检测个数命名。
一般检测基因数目越多,可以提供的信息越多,相应的检测成本也越高,但并不是所有患者都需要选择大panel检测,建议肿瘤患者咨询医生根据自身的病情进展结合自身经济状况综合选择。
接下来以圣维尔医学检验中心的一例案例,来介绍肿瘤基因检测是如何在临床诊疗中发挥具体作用的。
提要:刘女士49岁进行宫颈癌根治术,术后不到2年又确诊肺癌,如何通过基因检测判断是复发转移还是新发肿瘤?如何进行个体化治疗?是否具有遗传风险?
2017年(49岁)12月确诊宫颈癌,行宫颈癌根治术,术后病理示,(宫颈)中分化鳞癌,盆腔淋巴结1/13可见癌转移,术后辅助化疗6个周期。
2019年8月(51岁),来院检测CT示肺部阴影,PET-CT示高代谢病灶。行超声支纤镜活检示:低分化鳞癌。
图1:2017年12月确诊宫颈癌及
2019年08月确诊肺癌的病理报告
图2:2019年8月23日CT及PET-CT结果
2019年8月29日,取肺部穿刺活检组织送检“圣维尔实体瘤50基因检测”。
标本经质控合格,标本最终测序深度为6275X,测序质量评估合格。
2019年9月6日出具基因检测结果显示:MET基因14号外显子突变(突变频率14.9%)及FGFR3基因5倍扩增。
2019年9月17日开始进行靶向治疗,口服Capmatinib+甲磺酸乐伐替尼。
2019年11月2日(一个半月后),复查CT显示右肺部病灶基本消失。
2019年12月17日(3个月后),复查PET-CT,疗效评价:PR。
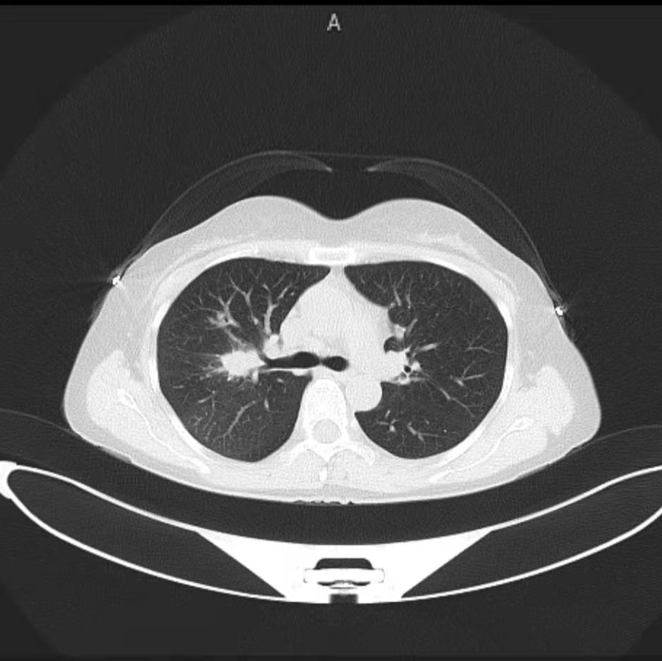
CT: 2019/8/23
(靶向治疗前)

CT: 2019/11/2
(靶向治疗1个半月)
PET-CT: 2019/8/23
(靶向治疗前)
PET-CT: 2019/12/23
(靶向治疗3个月)
2019年11月26日取2017年底宫颈肿瘤手术标本进行“实体瘤50基因检测”。基因检测结果显示存在AKT1基因3号外显子突变(突变频率4.87%),提示患者宫颈肿瘤组织分子生物学特征与肺部肿瘤不一致,非同一来源。
判断:肺部病灶为原发性肺鳞癌。
问题2:患者确诊宫颈癌与肺癌两处原发肿瘤,
是否有遗传风险?
2019年12月17日取患者2ml EDTA抗凝血进行“遗传性肿瘤易感基因全套检测”,平均测序深度为576X,检测结果提示无遗传性肿瘤相关基因的致病性突变,遗传风险低。
备注:本次案例引用已经过患者本人许可,仅用于科普宣传。
刘女士宫颈癌根治术后确诊肺癌,通过基因检测提示患者宫颈肿瘤组织分子生物学特征与肺部肿瘤不一致,非同一来源,判断肺部病灶为原发性肿瘤。并根据肺部肿瘤的基因检测结果,进行靶向治疗,口服靶向药后3个月后复查疗效评估PR。鉴于患者有两处原发肿瘤,通过遗传性肿瘤基因检测排除遗传风险,减少患者及其家属对于肿瘤遗传风险的担忧。
目前,通过各种肿瘤基因检测技术与相应的用药指导,临床上已经帮助很多患者找到最合适的个体化诊疗方案,帮助了大量的病人延长生命期。
但是要注意的是,由于癌症的发病机制复杂,即使基因检测结果显示为患癌高风险也不一定就会得癌症。基因检测可以帮助了解个人的患癌风险,但这只能作为评估和预防。
相信在不久的将来,随着肿瘤基因序列扩大、准确性的逐步提高,以及更多更好的靶向药物出现,肿瘤基因检测必会给更多的患者带来福音。