立即注册找回密码

QQ登录

只需一步,快速开始

微信登录

微信扫一扫,快速登录

搜索
小桔灯网 门户 资讯中心 人工智能 查看内容

腾讯 AI Lab 宣布中国首款智能显微镜获药监局批准进入临床应用

2020-5-1 17:49| 编辑: 小桔灯网| 查看: 10817| 评论: 0|来源: 器械之家

摘要: 钟南山院士曾表示:「临床病理水平是衡量国家医疗质量的重要标志」,而检查、诊断“众病之王”癌症的病理学检查中,显微镜观察必不可少。腾讯 AI Lab 联合业界领先的舜宇光学科技、国内最大的第三方医学检验机构金域 ...


钟南山院士曾表示:「临床病理水平是衡量国家医疗质量的重要标志」,而检查、诊断“众病之王”癌症的病理学检查中,显微镜观察必不可少。腾讯 AI Lab 联合业界领先的舜宇光学科技、国内最大的第三方医学检验机构金域医学宣布三方研发的智能显微镜已获得 NMPA 注册证,成为国内首个获准进入临床应用的智能显微镜产品。



该智能显微镜产品研发始于 2018 年,集成了目前病理分析与诊断方面的最新技术,并针对病理医生工作流程和习惯进行多次产品迭代,现已支持乳腺癌免疫组化(IHC) Ki67(肿瘤细胞增殖指数)、ER(雌激素受体)、PR(孕激素受体)和 Her2(细胞表面生长因子2)等常用核染色和膜染色量化分析场景的判读。


该产品在测试被证明能有效提升病理医生的工作效率、病理分析的精确度和一致性,有望缓解医院(尤其是基层医院)病理医生数量短缺且经验不足的问题,也是精准医疗从前沿研究走向落地探索的一个良好例证。


智能显微镜目前使用了离线运算版本,腾讯 AI Lab 还研发了一套基于深度学习方法的升级版算法,具有更高精准度和升级潜力,期待能尽早通过认证后推向市场,辅助医生诊断。


行业痛点:病理诊断作用关键,但相关医疗人才缺口大


大致来说,癌症检诊流程主要包含以下几个步骤,腾讯智能显微镜希望在病理分析和诊断两个关键环节为医生提供更多帮助。



  1. 影像检测筛查:通过一系列影像学检查,如 X 光、CT、MRI 和内镜等检查方法,找出可疑的病灶。目前“腾讯觅影”已为食管癌、肺结节、糖尿病视网膜病变、结直肠肿瘤、乳腺癌等多种疾病提供AI医学影像分析,辅助医生筛查。

  2. 组织活检及病理制片:要得到最终的准确诊断结果,需要取出一些肿瘤组织,制作成病理切片,然后在显微镜下(放大 40 - 400 倍)观察组织结构和细胞形态。

  3. 病理分析:通过对组织结构和细胞形态显微镜下的观察, 找出疾病发生的原因以及对人体结构和功能的影响,同时决定是否进行进一步辅助检测,如: 免疫组织化学(IHC)和分子检测, 对肿瘤进行定性和定量的分析。

  4. 病理诊断:根据显微镜观察结果结合IHC和分子病理结果,对肿瘤做出最终诊断。


其中最后一步病理诊断得到的报告将用于指导临床医生制定手术、化疗、放疗、靶向治疗或免疫治疗等治疗方案。因此,病理诊断是诊断流程中最后且最重要的环节,是疾病诊断的金标准,因此病理医生也被称为「医生的医生」。


从病理分析角度和层次来看,腾讯智能显微镜旨在通过提供精准定量分析提高诊断一致性,减轻医生工作负担,目前主要聚焦在免疫组织化学相关的辅助分析。病理诊断分为组织病理和分子病理两个层面,两者的诊断和检测方法不相同。只有两者互相补充、支持和印证,才能做出精准诊断。而不管是组织病理层面还是分子层面,传统的病理诊断过程都主要依靠人类医生的经验,也因此存在一些固有的短板:


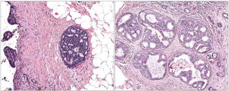
  • 组织层面,有的癌症亚分类多达数十种,且不同亚类之间细胞和组织形态可能很相似,诊断难度大,主观性强,而误诊后果严重。


图左是导管非典型增生,图右是原位癌,如果误判,后果严重。

来源:JAMA, 第1109页, 2015年


  • 分子层面,目前分为免疫组织化学(IHC)、FISH 和基因诊断等。IHC 主要用于疾病辅助诊断、鉴别诊断、 判读预后、指导临床治疗方案、靶向药物指导、免疫治疗指导等。


依靠病理医生诊断还面临着一个重要的现实问题:病理医生严重短缺。据统计,中国目前仅有 1.5 万名病理医生,缺口近 10 万,供需极不平衡,而新病理医生的培养又面临着时间周期长,年轻一代学习意愿不强等问题。


智能显微镜优势:节约医生的时间精力,提升读片精准度与一致性



近年来随着机器学习与大数据技术的发展,以计算机视觉为首的 AI 技术已展现出了在病理诊断应用上的巨大潜力。若使用 AI 辅助 IHC 结果判读,可以:


  1. 避免 IHC 结果判读的人为差异,提高判读结果的可靠性,提升病理诊断质量,这对于病理医生稀缺的基层医院尤为有帮助;

  2. 智能判读将节省稀缺病理医生资源,使其投入更需要的服务之中;

  3. 为病理免疫组化染色的质量评估做精确定量的质量控制;

  4. 为医学科研和药企提供免疫组化精准定量检测服务,为新药研发的相关免疫组化研究提供客观性可靠的证据。

  5. 为肿瘤患者提供分子靶向治疗及免疫治疗等相关精准定量的免疫组化检测服务;

  6. 病理医生与智能显微镜结合的工作模式,体现了「人+AI」的全新工作模式。让病理医生和人工智能各自发挥所长,全面提升效率。


因此自2018年起,腾讯 AI Lab 相继联合舜宇光学科技和金域医学,共同研发智能显微镜这一解决方案,为实现软硬件一体化和好的用户体验进行了多次产品迭代。



智能显微镜原理示意图



腾讯 AI Lab 提供了领先的AI算法及软件解决方案。在采集训练数据时,选择让机器使用主动学习和难例挖掘的方案,不打扰医生的工作流程,也减轻医生手动标注数据的负担;采用先进的模型设计方案,让算法模型在保证准确度的前提下能满足300毫秒内完成IHC全视野实时分析的要求;借助迁移学习并使用生成对抗网络(GAN)归一化镜下图像,使得算法能对不同医院和不同制片方式实现良好兼容,提升了算法的稳健性和通用性。


舜宇光学科技提供了定制化的硬件方案。贡献了病理方面的专业知识与专家资源,确保显微镜能支持多种病症场景的判读,并辅助算法训练取得良好效果,还能使产品紧密贴合医生的工作流程与习惯。


训练学习过程的流程示意图


经过验证,软硬件一体化的智能显微镜在精准度与一致性上能有效满足病理诊断实际需求,并能显著提升医生的工作效率,使其投入时间和精力到更有需要的工作上。此外,该系统也具有很高的性价比;虽价格略高于普通显微镜,但却能按需增加新病种的算法软件而无需购买新的显微镜。对病理医生短缺的地区和医院,这套系统的实用价值尤为显著。


金域病理专家罗丕福主任说:「该算法技术的应用,能够让病理诊断水平和能力更加匮乏的基层医院受益,更准确的诊断结果最终使肿瘤患者受益。」精准医疗是未来医疗发展大趋势,而智能显微镜则是其发展的一个缩影。


智能显微镜与传统显微镜性能对比


未来,腾讯 AI Lab 将联合舜宇光学科技和金域医学根据实际应用的需求迭代产品,并计划与多家机构合作,推进智能显微镜在乳腺癌、肺癌、结直肠癌、胃癌等中国高发疾病的病理学中的研究与应用,力求为医生、患者和社会创造更大的价值。

声明:
1、凡本网注明“来源:小桔灯网”的所有作品,均为本网合法拥有版权或有权使用的作品,转载需联系授权。
2、凡本网注明“来源:XXX(非小桔灯网)”的作品,均转载自其它媒体,转载目的在于传递更多信息,并不代表本网赞同其观点和对其真实性负责。其版权归原作者所有,如有侵权请联系删除。
3、所有再转载者需自行获得原作者授权并注明来源。

最新评论

关闭

官方推荐 上一条 /3 下一条

客服中心 搜索 洽谈合作
返回顶部