立即注册找回密码

QQ登录

只需一步,快速开始

微信登录

微信扫一扫,快速登录

搜索
小桔灯网 门户 资讯中心 肿瘤诊疗 查看内容

被癌症拖垮的人生,被世人忽视的筛查

2019-12-4 22:26| 编辑: 小桔灯网| 查看: 8375| 评论: 0|来源: 39深呼吸丨 作者:季媛媛

摘要: 当癌症患者生命如同一团乱麻,裹挟在各种漩涡里,越挣扎越沉没。谁能帮助他们走出其中?因为癌症,所以无奈?关于癌症,有人将此定义为一件沉重的铅衣,披到谁的身上,他的人生就会骤然出现一个休止符;也有人将此等 ...

当癌症患者生命如同一团乱麻,裹挟在各种漩涡里,越挣扎越沉没。谁能帮助他们走出其中?

因为癌症,所以无奈?

关于癌症,有人将此定义为一件沉重的铅衣,披到谁的身上,他的人生就会骤然出现一个休止符;也有人将此等同于一次次与死神的交手,为了活下去,在每一个危险关口都得奋力挣扎;还有人将此描述成对生命的绝望呐喊,当灾难来临,他们不得不像蝼蚁一般放下姿态拼命喊叫以寻求生的方向。

这样的画面,对于多数健康人而言,实在难以体会。然而,谁又能知道,明天和意外哪个会先来呢?

《2018年全球癌症统计数据》报告显示,我国癌症的发病率、死亡率均列全球首位,全球每新增100个癌症患者中,中国人便占21个。其中,发病率最高的前四位分别是肺癌、乳腺癌、胃癌、宫颈癌。而随着我国癌症患者人数逐年增长,每年相关医疗费用超过2200亿元。这也导至无数家庭在治疗癌症的道路上一夜间由小康走向贫穷。

2018年不同地区的癌症发病率和死亡率。/ 数据来源:IARC《2018年全球癌症统计数据》,制图:欧洲时报

来自安徽安庆的杨丽对此就深有体会。2016年,她被确诊为宫颈癌,这给原本就贫困的家庭蒙上了一层阴霾。

“能借的人都借遍了,有一次实在借无可借,还是隔壁病房的病友动了恻隐之心,前后给了我们1万3。”为了治病,杨丽每个月的治疗费让原本就贫穷的家庭变得入不敷出。如今,杨丽不知道自己还能撑多久,她不知道,这样的无底洞是否有尽头。有无数次,她都想放弃治疗。

但哪怕有钱,也会有其他的无奈之处。贵州省关岭布依族苗族自治县陈美常年一人在家,儿子儿媳均在外地打工,为了照顾家里,陈美需要常年干农活。谁知,渐渐地身体经常出现不适,阴道还时常出血,有一次,干活时不慎晕倒,被送去省级医院后,医生确诊出宫颈癌。

“我自己知道这个病很严重,之前婆婆因为忙着干农活没有去医院检查,我们也很后悔,一拖再拖才变成现在这样。”谈到宫颈癌,陈美的儿媳也很无奈,查出后已是中晚期,家里没有太多的钱,这一两年陈美只能依靠吃药打针的保守治疗方式维持生命。

家住习水县大坡乡小罗村水竹组48岁的张小莲也出现了与杨丽和陈美同样的状况。2016年初开始,张小莲开始觉察出身体的异常,阴道出血持续了有半年之久。期间曾经到乡卫生院和习水县人民医院检查,并没有发现明显的异常情况,开了一些药回来吃,然而张小莲的病情仍旧没有好转。

对此,上海交通大学医学院附属国际和平妇幼保健院宫颈科主任吴丹博士告诉39深呼吸(ID:shenhuxi39),宫颈癌是我国女性第二大常见恶性肿瘤,发病率仅次于乳腺癌,特点是存活率低,死亡速度比较快,年轻化趋势日益明显。数据统计也显示,我国宫颈癌每年新发病例10万例,死亡3万例,居15至44岁女性恶性肿瘤发病率第二位,死亡率第三位。

宫颈癌的演变过程。/ quanjing

在国际和平妇幼保健院,每个月筛查出来的宫颈癌前病变约有150例,最多的时候约180例,每个月确诊的宫颈癌中晚期的患者约15例。而这一数据,在十年前并没有这么高。

十年前,医院最年轻的宫颈癌患者年龄为51岁,此后变成45岁,再后来变成37岁,每年都有突破,一直到2016年,最年轻的宫颈癌患者是22岁。2018年,最年轻的癌患者仅15岁,且已经有两例。

2003年,梅艳芳因宫颈癌并发肺功能衰竭去世,年仅40岁。/ 视频截图

面对这一现象,吴丹很着急。“有很多人不知道宫颈癌是通过性传染的,其实,宫颈癌并不可怕,它有一个癌前病变阶段,我们有很长的时间和机会发现这个疾病,重要的是能有提前筛查的意识。”吴丹表示。

癌症筛查,迟到的好消息

诺贝尔奖得主阿比吉特·班纳吉在其着作《贫穷的本质:我们为什么摆脱不了贫穷》一书中提到:问题并不在于人们为健康花了多少钱,而是他们的钱究竟花到哪儿去了。他们常常把钱花在昂贵的治疗上,而不是廉价的预防上。

如此,为了降低治疗费用,不少国家已经开始渐渐正视筛查,希望以此帮助人们享受免费的医疗服务。并且也有不少人开始加入其中,通过自身的不断努力,举办各种筛查项目,以帮助更多人实现癌症早期筛查。

英国国民保健服务为50岁以上的妇女提供乳腺癌筛查,还专门制作了中文版。/ NHS

爱茉莉太平洋两癌筛查项目已经连续开展四年,作为该项目组的一员,每年夏天是组长张颖最忙碌的时候。在这一季节,她的任务就是和各个县的村医一起动员村里的适龄妇女接受两癌筛查。

张颖介绍,迄今为止,两癌筛查项目的足迹已经遍及5省22县,累积为7万余名贫困地区女性提供了免费的两癌筛查。但张颖发现,筛查地区间差异较大,受到区域、方言、经济水平等因素的影响,要想让所有女性接受筛查着实有些困难。

吴丹博士也表示,女性特别是45岁以上的女性需要提高宫颈癌预防的意识,定期进行妇科检查,就可以预防并做到早期发现、早期干预,最大程度地避免宫颈癌的发生。“当HPV16/18型为阳性时,应立即转诊阴道镜。当高危型HPV检测结果为阴性时,5-10年内罹患宫颈癌的机会几乎为零。”吴丹教授指出。

不同年龄群的宫颈癌筛查方法。/ 北京协和医院

说起来容易,但在基层实现筛查仍有许多现实问题需要解决。首先需要攻克的就是医师诊疗水准。

以宫颈癌筛查为例,由于妇科检查是宫颈癌筛查的第一步,由医生取样,然后进行宫颈液细胞学检查,如果有异常则需要进行HPV检查及阴道镜检查。所以,采样和检验是筛查过程中非常重要的环节,直接影响着最终结果的准确性。

“宫颈刮片都需要由检验科医生在显微镜下用肉眼一张张阅片来判断,经验的累积能有效提高检查的准确度和速度。”张颖介绍,2018年,两癌筛查在关岭有两千多例,2019年预计会增加到四千例,这些数字将直接转化成医生的经验和能力。

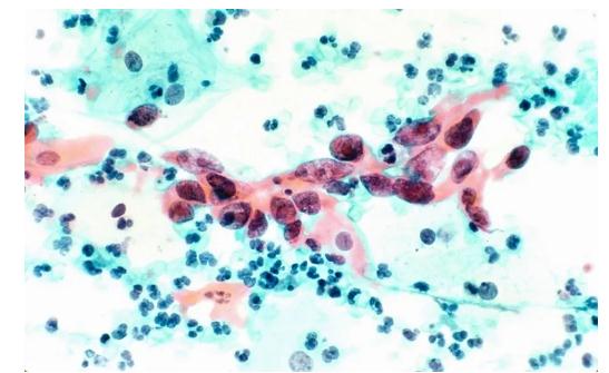
光学显微镜下的宫颈癌细胞。/ quanjing

然而,在2017年,两癌筛查项目首次来到贵州省关岭布依族苗族自治县,当地妇幼保健计划生育服务中心检验科医生的专业技能尚且达不到城市水准,为此,他们需要提前半年为项目的开展参与相关培训。

而为了更好地帮助患者实现准确诊断,在进行培训时,贵州省安顺市人民医院妇科副主任医师吴学磊称:“在取标本的时候,我们会把培训医生带在身边,然后就取给他看,怎么取,几例以后再让他做,做的时候我们会看他做。”

在有了医生之后,接下来,就是需要设备。先进的设备可以提升其智能影像诊断水平及智能癌症早筛能力,并促进多级医疗机构分工协作。

因此,为了提升筛查精准度,许多省级医院会将贵重的便携式彩超机带入各乡镇卫生院。

当种种工作都在井然有序地实施中,这也给看似一片迷茫的基层癌症患者,带来了好消息,送去了生的希望。

“守护”,并非想象中那么容易

然而,一切并非想象中那么美好。

哪怕在医生、设备都不缺的情况下,在每一个筛查案例背后,也透露出了一个个亟需解决的辛酸历程。

在张颖看来,有了医生和设备远远不够。“筛查最难的其实是观念,基层老百姓其实不太喜欢早筛,他们认为,我没病没灾的,你却告诉我要做癌症筛查,太晦气,而且在穷困地区,即便是筛查出癌症,家中也没钱可以做后续治疗,如此他们宁可发现得晚一点。”

张颖记得,今年,两癌筛查项目组在贵州省黔西县钟山镇猫山村时,村医小林就一直为了妇女的两癌筛查工作四处奔波。

早在2009年,卫生部和全国妇联就下发了《农村妇女“两癌”检查项目管理方案》。/ 国务院妇女儿童工作委员会官网截图

“嘟嘟嘟……您好,您呼叫的用户正在通话中,请稍后再拨……”又是一个没有打通的电话,“许多人他们不愿意参加筛查,有的人最起码通知了十几遍才去,妇女动员的工作很难做。”小林很无奈。

为了能劝说村里的妇女参加医院免费的两癌筛查项目,白天,村医小林会在医院安排协调工作,夜晚则在爱人的陪伴下走遍田间和小巷,一家一户地去敲门。

在面对许多妇女说出“不去”二字的时候,小林也不会放弃,依旧选择进一步的动员,“我们猫山村现在全镇妇女筛查总人数虽是县里第一,但是远远不够,我觉得还是要用心和行动去感动老百姓,让更多的人加入筛查的队伍中。”这是小林一直挂在嘴边的话,也是她动员妇女的一番说辞。

好不容易,多次劝说下,有的妇女松了口答应第二天去医院。然而,在第二天,前一天动员过的妇女依旧没了踪影,这时候,她还得开着小电驴顺着妇女家的地址再次寻过去。

“我不去!”到了妇女家,依旧得到的是否定的答案。

“你为什么不去啊,不要怕害羞嘛,这个做了对你有好处的,早点发现可以早点治疗,晚期都是医不好的,你晓得吗?”小林也是不依不饶,晓之以情,动之以理。

好不容易,劝了一个多小时,在她和妇女丈夫的合力劝说下,这名妇女口头上答应了。小林知道没个几次劝说,妇女们是不会去的。

这样的场景让曾经做肺癌筛查工作的志愿者刘韬很有感触。刘韬告诉39深呼吸(ID:shenhuxi39),曾经,他们的筛查项目进入福建宁德市古田县后,虽然从1000多个人中筛出来了几十多例高危肺结节患者,但最后真正来复查的人,一只手都能数得过来。“医生坚持打了很久的电话,这些人也不愿意过来复查确诊,他们觉得晦气。”

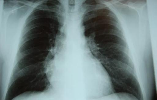
发现肺结节后最重要的一件事是排除肺癌。/ quanjing

而刚开始在河南新野进行筛查时,他们也碰到了与张颖同样的问题,很多人不愿意来参加免费的筛查。“每次都需要医院、政府、媒体三番两次的宣传呼吁,发传单,才会陆陆续续有人来。”刘韬说。

就算有时候哪怕是专家亲口做宣传,也很难成功。刘韬听说,某专门做肺结节诊断的郑州中心医院副院长曾在医院门口遇到了一个出租车司机,眼看着司机抽烟非常凶,满车的烟味,他便亲自去对司机做宣传:医院有个免费的肺癌筛查项目,问他要不来查查?谁知,司机看傻子一样望向看他,理都没理他。副院长无奈之下,拍着胸脯跟司机保证说,自己就是这里的医生,不收钱。

然而,尽管如此,司机依然不信。“在司机看来,癌症筛查很晦气不说,还容易陷入骗局,他怕一不留神就被骗得倾家荡产。”刘韬谈道。

也难怪司机会有如此心理。在过去,经济不发达的时期,许多企业借着各种筛查的名义进入小区,下到基层,以健康的噱头骗居民购买各种保健品。有的推销床,有的推销枕头,有的推销鞋垫,有的推销牙膏……长此以往,居民的信任感渐渐被磨灭了。

如今,在基层的村民看来,不如就这样稀里糊涂地活着。

星星之火,也可以燎原

妇女不去筛查总有各式各样的理由,一名负责的村医,可以说是改变了这个家庭的命运。在负责任的村医助力下,在所有项目组成员的努力下,也有不少人成为了癌症筛查的受益者。

在2017年8月,到医院复诊的张小莲听医生讲在不远处的习水县妇幼保健中心正在做免费的两癌筛查,医生建议她进行转诊。最终经过病理分析后,被确诊为宫颈癌。拿到确诊通知的张小莲及时进行了手术治疗,避免了病情的进一步恶化。

五种妇科肿瘤的症状。/ 资料图片

“我们第一次见到张大姐是在她家的库房,穿着一件粉色短袖上衣的她脸上很少有笑容,全程坐在椅子上和我们聊天。那时的张大姐正在术后康复期,每天到了傍晚身体还是会非常不舒服,状态看起来很让人揪心。”张颖介绍,患病给张小莲一家带来了很大的压力,儿女也没办法放心出去打工。但2018年,再次去张小莲家里探望,大家都不敢相信两年间看到的张小莲是同一个人。

张小莲如今已经可以忙前忙后一刻不停,脸上气色也好了很多,有心情收拾屋子,能照顾上面的老人,也能顾得上下面的小孩,还能干点农活。张小莲从家里的病秧子重新成为了重要的家庭角色,孩子们安心出去打工,收入也好起来了。张小莲在聊天中屡次告诉张颖:“我没得事了,我真的好了”。

而在2017年,让张颖印象比较深的是村民郑大姐。“郑大姐很能干,起早贪黑干活,养了2头牛和20多头猪。由于当时忙于造新房子,她一直以此为由不愿意抽身去参加筛查,好在村医来动员了十来次才松口。”比较幸运的是,郑大姐被检查出来宫颈癌早期,治疗效果好,虽然治疗后时不时会腰痛,比较容易累,但因为家里有三个孩子,她想早点康复,多赚点钱,很配合治疗。

同样是项目受益者,小巧也是在2017年被筛查出患有宫颈癌,并在当年做完手术,目前,小巧还在持续吃药康复阶段。由于生病抵抗力不太好,天气变化整个人就很难受。张颖发现,2019年再次与小巧见面最大的变化是,小巧之前因治疗而剪掉的一头长发,又蓄起来了。小巧生病后也很感慨,但也感恩及早发现和治疗。

中国与德国、美国、日本健康体检渗透率对比。/ 图:中国产业信息

“我现在只想开心地好好活!”还没走近陈英家,张颖老远就能听到小朋友们欢乐的玩闹声,间或飘来一阵阵饭菜的香味,热闹中有一种岁月静好的感觉,颇令人羡慕。说起当初为什么会去参加筛查,陈英仍心怀感激:“只要带着身份证,特别简单方便,村里的人都约着一起去。”

陈英是2018年贵州省关岭布依族苗族自治县疑似病例中唯一确诊的一例,万分庆幸的是病情发现得及时,家人们迅速联系了医院,进行了积极的治疗,陈英恢复得也不错。“我现在只想开心地好好活,把病养好了,把这个家照顾好了。生活压力肯定有,只要一家人健康平安,比什么都强!”

今年陈英带着儿媳一起报名参加了两癌筛查,也主动跟其他人分享了自己的经历,带动更多人来参加筛查。

德国前卫生部长德烈埃·费舍尔曾说过:“一个世纪来,体检让德国人多活了25年。”不想抽到癌症这手“烂牌”,就得勤翻体检的“牌子”,加入筛查行列,及早排查重疾。

台湾推行的“四癌筛检”。/ 医脉通

39深呼吸(ID:shenhuxi39)相信,癌症筛查项目走进乡村,想要带去的不仅是一次筛查,而是改变更多看不见、摸不着却又根深蒂固的东西。在这漫长的旅程中,难免遇到了天南海北,形形色色的人,但她们有着与所有人共同的目标,正在和我们一起影响着身边的人,当荧荧之火照亮一个又一个角落,所有人便能在微光里找到一条新的前路。

(应受访者要求,文中姓名除专家外均为化名)

声明:
1、凡本网注明“来源:小桔灯网”的所有作品,均为本网合法拥有版权或有权使用的作品,转载需联系授权。
2、凡本网注明“来源:XXX(非小桔灯网)”的作品,均转载自其它媒体,转载目的在于传递更多信息,并不代表本网赞同其观点和对其真实性负责。其版权归原作者所有,如有侵权请联系删除。
3、所有再转载者需自行获得原作者授权并注明来源。

最新评论

关闭

官方推荐 上一条 /3 下一条

客服中心 搜索 洽谈合作
返回顶部