立即注册找回密码

QQ登录

只需一步,快速开始

微信登录

微信扫一扫,快速登录

搜索
小桔灯网 门户 资讯中心 人工智能 查看内容

未来就在我们身边:当AI遇到血常规!

2019-11-21 10:52| 编辑: 面气灵| 查看: 8046| 评论: 0|来源: 检验医师

摘要: 中山大学孙逸仙纪念医院张锐浩AI应用于医疗研究与临床工作是现代科技不可忽视的热点,也是大势所趋。AI可以在医学影像识别、生物技术、辅助诊断等多个环节发挥其深度广度与效率兼顾的优势。当AI降临,很多医检人担忧 ...


中山大学孙逸仙纪念医院
张锐浩

AI应用于医疗研究与临床工作是现代科技不可忽视的热点,也是大势所趋。AI可以在医学影像识别、生物技术、辅助诊断等多个环节发挥其深度广度与效率兼顾的优势。当AI降临,很多医检人担忧我们的形态学高地也将被AI占领,“集体失业”。AI诞生于人,也终将服务于人。

今天的4个病例,看AI与最传统的血常规,会碰撞出怎样的火花。


病例1 加急加急加加急的复片血常规

     
患者王某,23岁,因牙龈出血,皮肤瘀斑收治于我院血液科,初查血RT, WBC27.73,RBC4.00,Hbg122,PLT10,白细胞仪器不能分类。根据复检规则镜检。


临床打来电话,患者怀疑DIC,请求尽快发报告。

此时数字阅片,AI判断为异常早幼粒细胞,报告备注可见80%幼稚细胞,建议做形态学检查!并同时致电医生,告知镜下可见异常早幼粒,怀疑M3。M3早期极为凶险,易引起DIC。临床及时处理,挽救生命!


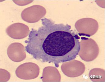
病例2 单核?异淋?毛白?


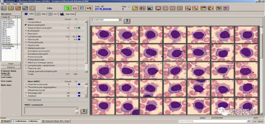
陈某,因消瘦纳差、脸色苍白、腹胀于我院消化科门诊求诊。血常规结果:

WBC8.59,RBC1.69,Hbg61,PLT146N:27%,L:42%,M:29%,E:2%。


看到血常规结果时,AI的结果也已经出来了,外周血毛细胞,整个检验流程顺畅高效。


病例3 血小板高不高?


患者陈某,女,11岁,外院查血常规时血小板最高达650x109 /L,于我院血液教授门诊,拟血小板增多症治疗。

我科血常规WBC7.5,  RBC5.53,  Hbg100, MCV53, PLT-I值610,PLT-O值240。

电阻抗法与光学法差距这么大,哪个更可信?

AI阅片:

靶形红易见,可见小红细胞、红细胞碎片,PLT散在可见,数量大致正常。

结论:血小板假性增多,地贫患者,MCV过低伴红细胞碎片。    

加做PLT-F:257,最终报告PLT 257。


病例4 血小板低不低?


患者视网膜剥落,至眼科就诊,行血常规与凝血功能检查。

血小板检测30x109/L,血常规其他结果及凝血结果均正常,

改用PLT-F:33x109/L ,并报警PLT聚集。标本未见凝块。


阅片机进行血片复核。


结论:血小板假性减少——血小板聚集。联系患者,取末梢血稀释法上机复查,最终报告PLT160。


以上4个病例在日常工作中其实是非常常见的,在AI没到来的时代,我们主要通过人工镜检的方式进行排查,耗时较长,而且容易漏检误检。AI形态帮助我们明显缩短TAT(效率), 保证报告准确性(质量),但最终不能完全代替镜检。传统行业如何与AI更好地相处,是所有领域的机遇,也是所有领域都在面临的一个挑战。


未来,就在我们身边。

声明:
1、凡本网注明“来源:小桔灯网”的所有作品,均为本网合法拥有版权或有权使用的作品,转载需联系授权。
2、凡本网注明“来源:XXX(非小桔灯网)”的作品,均转载自其它媒体,转载目的在于传递更多信息,并不代表本网赞同其观点和对其真实性负责。其版权归原作者所有,如有侵权请联系删除。
3、所有再转载者需自行获得原作者授权并注明来源。

最新评论

关闭

官方推荐 上一条 /3 下一条

客服中心 搜索 洽谈合作
返回顶部