立即注册找回密码

QQ登录

只需一步,快速开始

微信登录

微信扫一扫,快速登录

搜索
小桔灯网 门户 资讯中心 检验杂谈 查看内容

假性血小板减少,凝血指标竟然也异常?

2018-11-13 00:00| 编辑: 纳兰烙烙| 查看: 2755| 评论: 0|来源: 检验医学网

摘要: 案例经过今年5月份,某日上午,临检组同事发现有一例门诊患者血常规结果显示血小板明显减低32.7×109/L,而其它参数无明显异常,复查后血小板结果为25.0×109/L(见表1)。患者为门诊初诊患者,可提供的临床资料有限 ...

案例经过

今年5月份,某日上午,临检组同事发现有一例门诊患者血常规结果显示血小板明显减低32.7×109/L,而其它参数无明显异常,复查后血小板结果为25.0×109/L(见表1)。患者为门诊初诊患者,可提供的临床资料有限(患者男性,59岁)。


表1 患者两次血常规检查结果

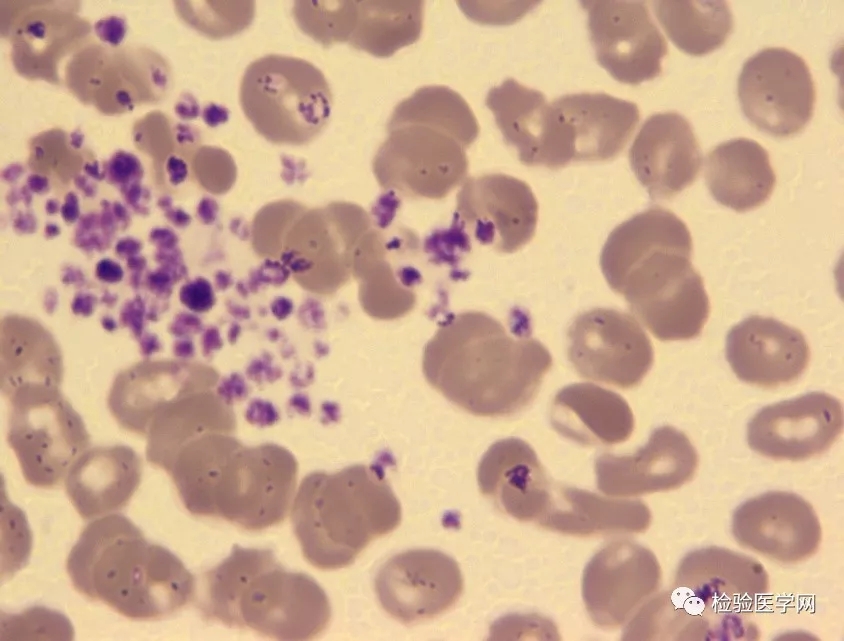
于是我们对标本进行血涂片复检。瑞士-吉姆萨染色、镜检,在涂片中发现血小板成簇、成堆分布(如图1,2)。而一般EDTA抗凝血涂片,因有抗凝剂存在,血小板不会聚集,而是呈星星点点散分布(图3);如果患者血小板数量并不少,在末梢血直接涂片才可观察到血小板成簇、成堆分布(图4)。患者外周血分类结果:白细胞分类大致正常,成熟红细胞形态未见异常;血小板成簇、成堆分布。这样排除了引起血小板减少的相关疾病,更考虑患者是一例EDTA依赖性假性血小板减少。

图1 患者EDTA抗凝血涂片(血小板成簇、成堆分布)

图2 患者EDTA抗凝血涂片(血小板成簇、成堆分布)

声明:
1、凡本网注明“来源:小桔灯网”的所有作品,均为本网合法拥有版权或有权使用的作品,转载需联系授权。
2、凡本网注明“来源:XXX(非小桔灯网)”的作品,均转载自其它媒体,转载目的在于传递更多信息,并不代表本网赞同其观点和对其真实性负责。其版权归原作者所有,如有侵权请联系删除。
3、所有再转载者需自行获得原作者授权并注明来源。

最新评论

关闭

官方推荐 上一条 /3 下一条

客服中心 搜索 洽谈合作
返回顶部