立即注册找回密码

QQ登录

只需一步,快速开始

微信登录

微信扫一扫,快速登录

搜索
小桔灯网 门户 资讯中心 检验杂谈 查看内容

图表话慢淋(CLL)

2018-9-9 15:06| 编辑: 小桔灯网| 查看: 4235| 评论: 0|来源: 检验视界网

摘要: 作者:李洪文,鄂尔多斯市中心医院检验科表1 CLL概述CLL患者外周血离心白细胞层制片,瑞-吉染色(1000×)图A、B显示多数细胞体积小、核膜不甚规则,染色质浓聚呈小块状,副染色质较明显,胞浆极少。图C中央及右上方 ...


作者:李洪文,鄂尔多斯市中心医院检验科


表1  CLL概述


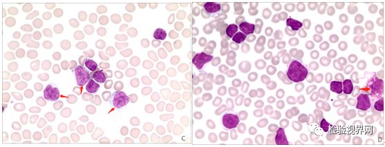
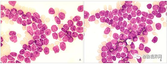
CLL患者外周血离心白细胞层制片,瑞-吉染色(1000×)

图A、B显示多数细胞体积小、核膜不甚规则,染色质浓聚呈小块状,副染色质较明显,胞浆极少。


图C中央及右上方显示四个成熟小淋巴细胞,染色质浓缩。箭头所指三个细胞,染色质较松散、可见核仁,呈幼稚淋巴细胞形态。D图箭头所指为一涂抹细胞。


图E 骨髓活检(HE染色)CLL有三种浸润模式:a局灶性(如E图所示)[1];b 间质型;c弥漫型,广泛、弥漫的骨髓浸润与细胞减少症、晚期临床阶段有关,并与70KDA相关蛋白(ZAP-70)的存在有关。F图为CLL/SLL瘤细胞侵犯淋巴结的活检图片[2],暗背景下浅色增殖中心,国内有专家形象地称之为“蓝天-白云”现象,在淋巴结活检中对CLL/SLL的诊断和鉴别诊断很有意义。


表2  CLL的异常基因改变及临床意义[3]


表3  CLL的治疗进展[4]


【参考文献】

[1] Webpathology.com.

[2] Steven H. Swerdlow ,Elias Campo,Nancy Lee Harris,et al. WHO Classification of Tumours of Haematopoietic and Lymphoid Tissues,2016.

[3] 吕瑞,李增军,慢性淋巴细胞白血病的克隆演变,癌症进展,2015,13(3):247-250.

[4] Kanti R. Rai,  Preetesh Jainz,Chronic lymphocytic leukemia (CLL)一Then and now,American Journal of Hematology, 2016,91(3):330-339.

声明:
1、凡本网注明“来源:小桔灯网”的所有作品,均为本网合法拥有版权或有权使用的作品,转载需联系授权。
2、凡本网注明“来源:XXX(非小桔灯网)”的作品,均转载自其它媒体,转载目的在于传递更多信息,并不代表本网赞同其观点和对其真实性负责。其版权归原作者所有,如有侵权请联系删除。
3、所有再转载者需自行获得原作者授权并注明来源。

最新评论

关闭

官方推荐 上一条 /3 下一条

客服中心 搜索 洽谈合作
返回顶部