立即注册找回密码

QQ登录

只需一步,快速开始

微信登录

微信扫一扫,快速登录

搜索
小桔灯网 门户 资讯中心 杂侃天下 查看内容

超燃!全球生命科学巨头的中国速度

2023-11-7 15:32| 编辑: 沙糖桔| 查看: 1463| 评论: 0|来源: MedTrend医趋势

摘要: 成为医学影像诊断领域不断追寻的方向


伦琴发现X射线开始,如何更清晰地观察人体器官、细胞组织和内部结构,成为医学影像诊断领域不断追寻的方向。


于是,当“对比剂(造影剂)”被用于CT、MR等增强扫描时,医生首次清晰看到了极其微小的病灶;如今也成为早期肿瘤筛查,尤其是精准诊断结节的利器。


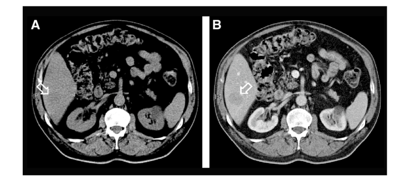
增强后的CT图像,可辨别低密度病灶

俗话说“好马配好鞍”,有了子弹必须配一把好枪才能效用最大化。

当全球对比剂鼻祖,带着全新一代CT高压注射器来到中国,会为中国医患带来怎样的颠覆性改变?

11月5日开幕的第六届“进博会”上,作为影像诊断百年历程的见证者和参与者,“六届元老”拜耳集团不仅为我们带来新惊喜,还用实际行动向我们展示了拜耳的“中国速度”。


01



新产品速度

“首展”前已是商品


过去五年,“展品加速变商品”成为进博会持续释放发的强大“溢出效应”之一。此前拜耳的“全球首发”、“中国首秀”、“进博首展”,已成功孵化出多个“进博宝宝”。

而今年进博,其带来的CT高压注射器MEDRAD Stellant FLEX已于今年初在华获批上市。“首展”前就已成“商品”,可谓“速度”之一。


MEDRAD Stellant FLEX

高压注射器的诞生规避了以往“手动”操作的一些弊端,但仍需要临床经验丰富的医生进行操作把控,且失之毫厘效果差之千里。

MEDRAD Stellant FLEX在安全、经济、高效方面颠覆临床,为医患保驾护航。


首创液体监测技术,轻松识别空气残留。

拜耳的彩色信标(Beacon)技术可通过液面反射活塞的颜色变化,提示注射器中是否有>5ml的空气残留。


因此,Stellant FLEX能显著提升空气检测率(86.9%vs97.5%)可在8-16英尺距离范围内,帮助医护人员更好的识别空气残留

此外,因为其材料不使用邻苯二甲酸二酯(DEHP)或邻苯二甲酸二异壬酯(DINP),更加无毒无害。

专门针对“降本增效”,首创双规格耗材选择。

StellantFLEX提供了150ML、200ML双规格耗材选择,提高了选择的灵活性;且降低了不必要的废弃物处理成本,减少对环境的影响。


Workstation 3.0助力“效率”“精准”双管齐下,“一键”实现患者个性化精准注射方案。

对于要求极其严格的医疗临床而言,高效必须是效率与精准的双赢

在“效率”方面:其一体化、个性化“模块”,使操作更便捷。

一体化按键设计提升注射机头清洁效率,优化工作流程。StellantFLEX清洁效能较经典版分别提高43%(Quick clean)和2.9%(Full clean)。



个性化注射方案平台支持不同的临床应用场景。

同一套参数无法满足所有病人,而复杂的参数调整严重依赖于技师经验。StellantFLEX搭载的P3T平台包含肺动脉、心脏、腹部等多样化模块,更专业更精准,以更少的对比剂用量实现更好的效果。


此外,还可适配目前市场上几乎所有大放设备,使技术人员轻松实现个体化对比剂注射。

不仅考虑患者的体重和扫描时间,P3T平台还首创结合心功能因素,可根据病人个体的心功能情况测出达峰时间,从而对注射方案进一步校正,确保成像时间的准确性。

在“精准”方面:独创双流技术、Workstation 3.0平台。

双流技术介导的三期相注射方案,允许StellantFLEX可同时按实际选择的比例注射对比剂和生理盐水混合液,进一步优化图像质量和提升组织对比度目前三期相对比剂注射方案已得到国内外权威指南的一致推荐。


其搭载的Certegra工作站赋能放射科信息化互联互通,比起目前手动记录和第三方软件记录更便捷准确。

  • 自动获取Modality Worklist,从中可直接选择患者进行注射;
  • 自动收集并获取注射的详细信息数据,方便导出;
  • 自动实现数据归档,规范工作流程;
  • 自动全面分析造影剂注射信息,有利于优化注射方案。

目前,已升级到最新一代Certegra Workstation 3.0触摸屏显示工作站,外观全新设计,按钮更少,重量更轻,小巧一体化机,无需安装底座提升开机时间、更快的运行速度,且支持未来功能的拓展。

拜耳影像诊断业务部中国区总经理胡文菁告诉医趋势,虽然StellantFLEX在中国刚上市,但在欧美领先的医学中心已有广泛应用,并获得医患一致好评。

精确诊断是精准治疗的前提。而在影像诊断临床,拜耳为中国医患带来的不仅仅是创新产品。


02



数字化速度

首创智能高压注射器,打通“最后一公里”


在全球造影剂、高压注射系统市场,拜耳可谓一马当先几乎占据半壁江山,并且在各个时代引领技术先河。

全球首个MRI对比剂“马根维显”、全球首个肝脏特异性MRI对比剂“普美显”,全球市场应用占比最高的大环状MRI对比剂“加乐显”都来自拜耳。

而当精准诊疗浪潮席卷医疗领域,作为业内知名度最高的品牌,拜耳MEDRAD也率先将信息化和智能化平台融入高压注射系统里,可谓“速度”之二。

数字化能为精准诊疗做些什么?想必放射科的医患最有发言权。

门外是焦急等待,甚至排队好几天的患者;门内是不分日夜、不敢喝水、分秒必争的的医护。而这些等待和辛劳背后,是全国不到20万的放射科医生,面对每年超75亿人次的庞大待检群体。

这巨大的医疗资源鸿沟,不是一朝一夕可以填补,数字化或能缓燃眉之急,但更重要的是要用在刀刃上。

放射科整体数字化产品众多,反而容易忽略一些重要“死角”。

比如,对比剂注射方案、信息记录等仍依赖手动或第三方软件,致使高压注射系统成为游离于放射科网络外的“信息孤岛”。

俗话说“短板决定下限”,随着医疗规模不断扩大,这一问题亟需解决。

因此,拜耳从中国临床痛点出发,推出了中国市场首款智能、信息化CT高压注射系统Stellant D-CE,并荣获“2021县域医院信息化与大数据典型案例征——县域先锋智慧方案”大奖。

要真正实现影像诊断技术同质化下沉,离不开数字化。某三甲影像科医生对此表示,高压注射系统的数字化犹如打通了医疗影像信息化的“最后一公里”,真正实现了放射科信息化完整闭环。

本届进博会,拜耳也将带来搭载其数字化Workstation 3.0的磁共振高压造影注射系统MEDRAD MRXperion中国首展。

而经过不断加码,拜耳如今已将其数字化平台拓展到AI医学影像诊断。

  • 2022年6月,拜耳正式推出Calantic数字化解决方案,旨在大幅提升疾病分诊、病变检测、量化分析和诊断工作效率;并成为其对比剂、高压注射系统等多产品组合的战略补充。
  • 2023年1月,拜耳宣布战略收购全球医学影像AI平台和解决方案提供商Blackford Analysis Ltd,进一步升级Calantic平台。

未来,或将实现从诊断到治疗的医院全周期信息化管理。

在采访中胡文菁表示,中国在医疗AI领域有全球领先的基础和巨大潜力。因此在中国落地医疗AI将诞生更多奇迹。此外,不仅是引进最新领先技术,在创造大健康里程碑的每一步,拜耳都希望与中国一起留下浓墨重彩。



03



国产化速度

三年实现从本地制造到智造


毋庸置疑,中国仍是全球最具吸引力的医疗蓝海市场。2023前三季度GDP增长5.2%,加上近年来一系列吸引外商投资力度的政策措施,让越来越多跨国巨头看到了发展新动力。

与此同时,竞争激烈且变幻莫测的市场也让一些企业以往的市场优势被打破。

“升级”“变革”成为近年来外资医疗巨头的中国策。

所谓天下武功唯快不破,拜耳影像诊断或许就以其惊人速度“以变治变”。

2023年9月,拜耳医疗器械厂房在北京举办启用仪式,意味着拜耳影像诊断设备将正式在中国实现本地化生产。这也是继其药品打通生产流通全价值链后,拜耳在中国的本地化再升级。

为更好地服务中国市场,为客户提供优质的影像诊断器械设备,2022年12月,拜耳北京影像诊断医疗器械本地化项目正式启动。仅9个月就完成所有施工,并通过了相关各项验收,可谓“速度”之三。

据悉,目前厂房的高压注射系统组装和制造车间均已落成,可以启动工艺验证和产品注册流程,为最终取得生产许可证做准备。

此外,不仅是产品的本地化生产,在未来两到三年,拜耳影像诊断全球最新产品,或将直接以本地化创新智造的方式带给全球。胡文菁对此信心满满。因为这一切已在稳步推进中。

2023年6月,拜耳宣布新一代HRCA钆对比剂Gadoquatrane启动全球三期临床开发项目,目前进展顺利。
  • 研究结果表明在0.04 mmol Gd/kg体重(bw)的剂量下,与标准剂量的既定产品相比,对比增强MRI中的钆剂量减少了60%。

Gadoquatrane是一种高度稳定的MRI对比剂,这意味全球MRI成像领域在“线性钆对比剂”、“大环状钆对比剂”之后,或许即将进入“HRCA钆对比剂”时代;且首次有中国科学家的参与。

据悉,QUANTI临床开发项目包括两项跨国III期研究以及一项儿科研究,并首次邀请中国专家团队共同参与全球研发,全面同步创新的对比剂从I期研究到全球III期研究的全过程。

这对于进一步推动中国医学影像学从研究到临床诊断的高质量发展很有帮助。

在采访最后胡文菁透露了一个自己的小小愿望,她希望借助拜耳这个全球极具影响力的头部外企,助力中国医疗影像更多站到国际舞台,让世界听到中国的声音。


放射学发展,已从物理成像到数字成像,从形态学成像到微观成像和分子成像,从单纯的“解剖显示”到“功能成像”,医学影像行业正迈入一个伟大的新时代。

不仅是拜耳影像诊断,新时代下每一个大健康参与者都将共历这场盛世。

声明:
1、凡本网注明“来源:小桔灯网”的所有作品,均为本网合法拥有版权或有权使用的作品,转载需联系授权。
2、凡本网注明“来源:XXX(非小桔灯网)”的作品,均转载自其它媒体,转载目的在于传递更多信息,并不代表本网赞同其观点和对其真实性负责。其版权归原作者所有,如有侵权请联系删除。
3、所有再转载者需自行获得原作者授权并注明来源。

最新评论

关闭

官方推荐 上一条 /3 下一条

客服中心 搜索 洽谈合作
返回顶部