立即注册找回密码

QQ登录

只需一步,快速开始

微信登录

微信扫一扫,快速登录

搜索
小桔灯网 门户 资讯中心 技术杂谈 查看内容

可为和有为,呼吸道症候群病原体检测系列抗原详解Ⅱ ----肺炎衣原体

2021-7-14 11:12| 编辑: 沙糖桔| 查看: 3791| 评论: 0|来源: 小桔灯网

摘要: 随着检验科新的检验项目的陆续开展,呼吸道多联检在越来越多的医院普及,套餐式组合让临床呼吸道感染的检测更加高效、特异、全面。肺炎衣原体是80年代发现的一种新的引起急性呼吸道感染最常见的非典型病原之一,可引 ...


随着检验科新的检验项目的陆续开展,呼吸道多联检在越来越多的医院普及,套餐式组合让临床呼吸道感染的检测更加高效、特异、全面。肺炎衣原体是80年代发现的一种新的引起急性呼吸道感染最常见的非典型病原之一,可引起肺炎、支气管炎、咽炎和动脉粥样硬化、心内膜炎、冠心病等肺外疾病,严重者可造成人体多系统、多器官的损伤,也是世界各地常见的社区获得性肺炎的主要病原体之一;幼儿和老年人群均是易感群体,其临床症状表现为轻微感染或无症状感染,为临床诊断带来了巨大压力;因此临床诊断需借助实验室检测进行辅助判断其感染类型,对临床用药及疾病控制有着至关重要的作用。


(一) 肺炎衣原体的简介

肺炎衣原体(Chlamydia pneumoniae, Cpn)是胞内寄生的革兰氏阴性菌, 1965年,第一株Cpn(TW-183)从中国台湾一名儿童的眼结膜中被分离出来,1989年被命名为Cpn,并定为衣原体属的一个新种。

肺炎衣原体具有独特的生命周期。其原生小体(EB)感染宿主细胞后,发育成代谢活跃的网状体(RB),然后二分裂繁殖出大量的EB,细胞破裂后释放,继续感染新的宿主细胞。

 

外膜蛋白复合物是肺炎衣原体的主要保护性蛋白,包括三种:主要外膜蛋白(MOMP,也称外膜蛋白A)、富含半胱氨酸大蛋白和富含半胱氨酸小蛋白。

其中,MOMP在EB和RB中均存在,约占外膜蛋白总量的60%。

富含半胱氨酸的外膜蛋白2(OMP2):是衣原体外膜复合物的一种结构蛋白,具有属特异性,是主要抗原表位之一;

脂多糖(LPS):是衣原体的细胞壁成分之一(内毒素),具有抗原表位。


图1:衣原体细胞壁的结构示意图



(二) 肺炎衣原体的免疫应答

1) 免疫反应与菌株

通过检测不同菌株的肺炎衣原体的蛋白谱中可知,虽然不同的菌株存在着细微的差别,但而所有的菌株中均包含39.5kDa条带蛋白,且所有的患者血清均与其发生免疫应答反应。


图2:不同肺炎衣原体菌株参与免疫应答的蛋白


2) 肺炎衣原体的血清动力学

机体感染肺炎衣原体后,IgM在2-3周出现,4-5周达高峰,3-5月后下降;

IgG在发病初期30天内上升,3-4个月后达到高峰。


图3:肺炎衣原体的血清动力学


3) 参与免疫应答的抗原位点

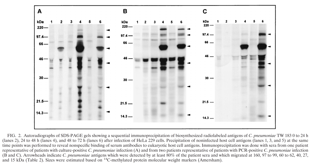
在感染肺炎衣原体患者的血清中,参与免疫应答的抗原位点为:8/10kDa、15kDa、40kDa、43kDa、46kDa、53kDa、60/62kDa、70kDa等多个抗原位点,证明在肺炎衣原体感染的过程中主要为多抗原刺激。


图4:参与感染肺炎衣原体患者的抗原蛋白谱


进一步分析肺炎衣原体感染过程的抗体谱可知,在感染早期、感染中期及感染后期,参与免疫反应过程的抗原位点主要为:160kDa、97/99kDa、60/62kDa、40kDa 、27kDa、15kDa;这与肺炎衣原体引起免疫反应的主要抗原位点相一致。


OMP4和OMP5蛋白:97/99kDa;

OMP2蛋白         :60/62kDa;

MOMP蛋白        :40kDa;

OMP3蛋白         :15kDa;


结果表明,在肺炎支原体感染的任何阶段,均为多抗原参与其中的免疫应答;因此,检测肺炎衣原体感染的抗体包被抗原需包含多个抗原表位,尤其是OMP2蛋白、OMP3蛋白、OMP4蛋白、OMP5蛋白和MOMP蛋白等重要的抗原表位,而天然蛋白是最佳之选。


图5:肺炎衣原体感染过程的抗体谱


通过单抗识别相应的40kDa(MOMP)抗原位点发现,肺炎衣原体单抗无法识别纯化的线性抗原,即未产生特异性结合,构象的变化导至在患者血清结果充也表现弱反应性或无反应性;表明MOMP的构象表位是该抗原位点的主要是别靶点,生物合成的天然 40kDa MOMP 均可被肺炎衣原体感染患者的血清识别,且比线性蛋白识别的敏感性更高。由此可知,在MOMP抗原的选择上,其天然抗原依然由于线性表位抗原。


图6:不同来源MOMP抗原与肺炎衣原体单抗的反应


在德国乌尔姆大学Jürgen Benjamin Hagemann等的研究中证明,肺炎衣原体患者血清中IgM和IgG对肺炎衣原体的表面相关蛋白、毒力相关蛋白和其他假设的相关蛋白均产生免疫应答,各个相关的蛋白抗原位点均与IgM、IgG产生非常高的敏感性和特异性。


图7:肺炎衣原体IgM和IgG抗体与肺炎衣原体的反应


小结:

通过肺炎衣原体感染的免疫应答及国际研究表明,应用血清学检测方法主要抗原为肺炎衣原体全菌抗原和属抗原(主要外膜蛋白复合物和脂多糖),而肺炎衣原体天然抗原是肺炎衣原体抗体检测最佳之选。


(三) 总结

在后疫情时期,呼吸道病毒症候群检测在呼吸系统疾病防止社区传播和院内感染防控工作中将发挥重要的作用。了解肺炎衣原体的免疫应答及血清动力学,肺炎衣原体天然抗原是快速、精准开发肺炎衣原体抗体检测的可靠保障。

 

注:关于文章的任何疑问,请咨询作者邮箱:hillson.zhu@virion-serion.net


参考文献:

【1】 Chlamydophila pneumoniae diagnostics: importance of methodology in relation to timing of sampling

【2】 Analysis of humoral immune responses to recombinant Chlamydia pneumoniae antigens

【3】 Analysis of the Humoral Immune Response to Chlamydia pneumoniae by Immunoblotting and Immunoprecipitation

【4】 Antigenic and Molecular Analyses of Different Chlamydia pneumoniae Strains

【5】 Characterization of Chlamydia pneumoniae Species-Specific Proteins Immunodominant in Humans


声明:
1、凡本网注明“来源:小桔灯网”的所有作品,均为本网合法拥有版权或有权使用的作品,转载需联系授权。
2、凡本网注明“来源:XXX(非小桔灯网)”的作品,均转载自其它媒体,转载目的在于传递更多信息,并不代表本网赞同其观点和对其真实性负责。其版权归原作者所有,如有侵权请联系删除。
3、所有再转载者需自行获得原作者授权并注明来源。

最新评论

关闭

官方推荐 上一条 /3 下一条

客服中心 搜索 洽谈合作
返回顶部