立即注册找回密码

QQ登录

只需一步,快速开始

微信登录

微信扫一扫,快速登录

搜索

伴随诊断 | 子宫内膜癌迎首款PD-1药物,首个MMR伴随试剂随之获批

2021-5-6 14:52| 编辑: 沙糖桔| 查看: 4662| 评论: 0|来源: 3号IVD车间 | 作者:ErinoO

摘要: 2021年4月22日,美国FDA加速批准了葛兰素史克的dostarlimab-gxly(Jemperli)用于治疗复发或晚期错配修复缺陷(dMMR)子宫内膜癌成人患者,JEMPERLI成为了第一款用于子宫内膜癌的PD-1疗法;而值得关注的是,此次罗氏Ve ...


2021年4月22日,美国FDA加速批准了葛兰素史克的dostarlimab-gxly(Jemperli)用于治疗复发或晚期错配修复缺陷(dMMR)子宫内膜癌成人患者,JEMPERLI成为了第一款用于子宫内膜癌的PD-1疗法;而值得关注的是,此次罗氏Ventana MMR RxDx Panel作为伴随诊断试剂同时获批,用于筛选最适合用药的患者,这是FDA批准的首个基于MMR生物标记物的伴随诊断试剂

上个月刚进行的 盘点 | 截止2021年3月,FDA获批伴随诊断产品 中,免疫治疗相关生物标记物再添一员。同时,和MMR密切相关的MSI,其近期在伴随诊断领域的进展也佐证了免疫治疗正步入更加精准的时代,详见 伴随诊断 | Biocartis提交FDA,首个MSI伴随试剂值得期待 。

FDA官网的伴随诊断试剂列表已作如下更新:



从临床适应症角度看,Ventana MMR RxDx Panel也是首个子宫内膜癌患者中,评估PD1免疫治疗资格的伴随诊断试剂。子宫内膜癌是美国最常见的妇科癌症,在北美女性中是第四常见的癌症。在我国,子宫内膜癌发病率也呈逐年上升趋势,在北上广甚至已超过子宫颈癌,成为女性生殖系统恶性肿瘤的首位。全球范围内,每年约有90,000女性死于子宫内膜癌或一线治疗后。

罗氏诊断首席执行官Thomas Schinecker表示:“我们很高兴与GSK一起开展这项伴随诊断测试,以帮助复发或晚期子宫内膜癌患者进行有限的治疗选择。” “这项测试为临床医生提供了一种有效的工具,可以确定最适合使用GSK JEMPERLI免疫治疗的患者,为患有MMR缺陷型子宫内膜癌的女性患者提供新的治疗选择。”

Ventana MMR RxDx Panel为临床医生提供了标准化、全自动的MMR检测,利用免疫组化(IHC)方法对四种MMR标志蛋白MLH1, PMS2, MSH2, and MSH6,进行全面检测


关于MMR

MMR是一种分子机制,如果任一MMR蛋白表达缺失(dMMR),可造成细胞的错配修复功能缺陷,则对DNA复制过程中的碱基错配丧失修复功能。四个MMR蛋白里任何一个蛋白的表达是缺失的(阴性),肿瘤就属于dMMR;如果四个蛋白全部表达阳性,肿瘤是pMMR


在“盘点”一文中梳理过,对免疫治疗药物受益的评估,一方面可以通过直接检测PD-L1的表达进行,一方面则通过肿瘤环境的基因组特性(Genomic Signature),即相互影响和交织的MMR, MSI, TMB进行。研究表明,
一种或多种MMR蛋白表达的缺失,可能预示了对免疫疗法受益的可能性增加。JEMPERLI单药是PD1免疫疗法,MMR检测可以评估有资格接受JEMPERLI单药治疗的患者




关于Ventana RxDx MMR Panel

2017年,Ventana MMR IHC Panel获批FDA II类试剂,用于识别大肠癌确诊患者中的Lynch综合征患者。除了上面列出的四个MMR蛋白(MLH1,MSH2,MSH6和PMS2)之外,Ventana MMR IHC Panel还包括VENTANA BRAF V600E(VE1)小鼠单克隆抗体。 


此次,Ventana MMR RxDx Panel作为伴随诊断,作为Ventana MMR IHC Panel的用途延伸(label extension)获批,其包含MMR IHC Panel中,除VENTANA BRAF V600E(VE1)之外的抗体。两款试剂除预期用途不一样之外,部件号和包装说明书均相同,以保证客户更快接触到此次的新增用途




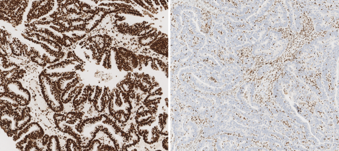
Figure 1: VENTANA anti-MLH1 (M1) Mouse Monoclonal Primary Antibody staining with Intact (left) or Loss (right) of expression in the presence of evaluable internal controls in endometrial carcinoma tissue.





Figure 2: VENTANA anti-MSH6 (SP93) Rabbit Monoclonal Primary Antibody staining with Intact (left) or Loss (right) of expression in the presence of evaluable internal controls in endometrial carcinoma tissue.





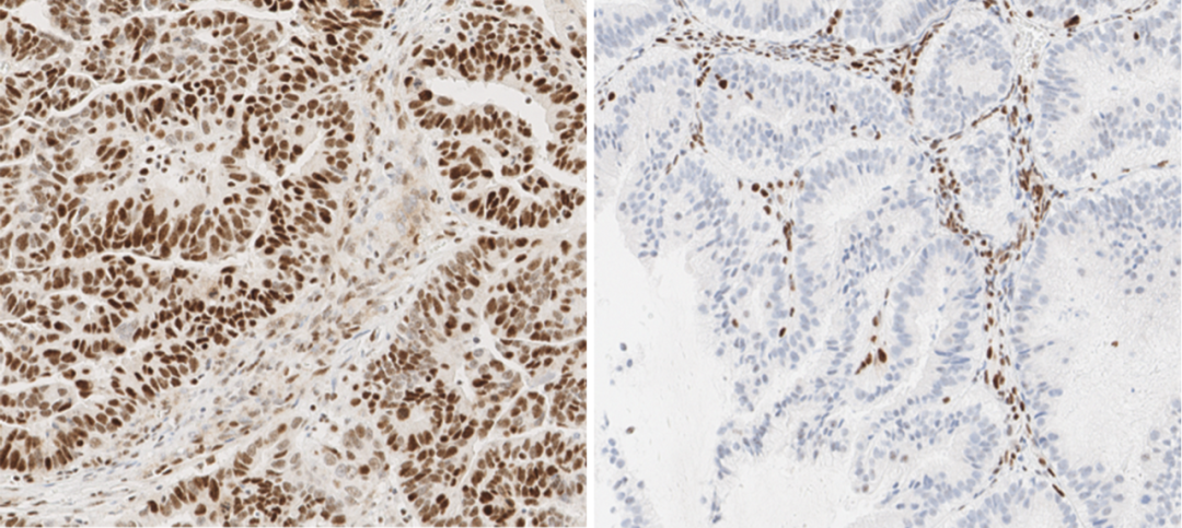
Figure 3: VENTANA anti-MSH2 (G219-1129) Mouse Monoclonal Primary Antibody staining with Intact (left) or Loss (right) of expression in the presence of evaluable internal controls in endometrial carcinoma tissue.





Figure 4: VENTANA anti-PMS2 (A16-4) Rabbit Monoclonal Primary Antibody staining with Intact (left) or Loss (right) of expression in the presence of evaluable internal controls in endometrial carcinoma tissue.


ReferencesFDA官网,Roche官网


-END-

声明:
1、凡本网注明“来源:小桔灯网”的所有作品,均为本网合法拥有版权或有权使用的作品,转载需联系授权。
2、凡本网注明“来源:XXX(非小桔灯网)”的作品,均转载自其它媒体,转载目的在于传递更多信息,并不代表本网赞同其观点和对其真实性负责。其版权归原作者所有,如有侵权请联系删除。
3、所有再转载者需自行获得原作者授权并注明来源。

最新评论

关闭

官方推荐 上一条 /3 下一条

客服中心 搜索 洽谈合作
返回顶部