2020版成人过敏性肺炎诊断指南出炉,更新要点看这里!
2020-8-12 13:57|
编辑: 沙糖桔|
查看: 3709|
评论: 0|来源: 医学界呼吸频道
摘要: 内容丰富,满满都是干货!过敏性肺炎(HP)是一种累及肺实质和小气道的炎性和/或纤维性疾病,易感人群暴露于已知或未知抗原后,诱发机体细胞免疫和体液免疫介导肺部炎症反应。随着致病抗原暴露频率、持续时间和强度 ...
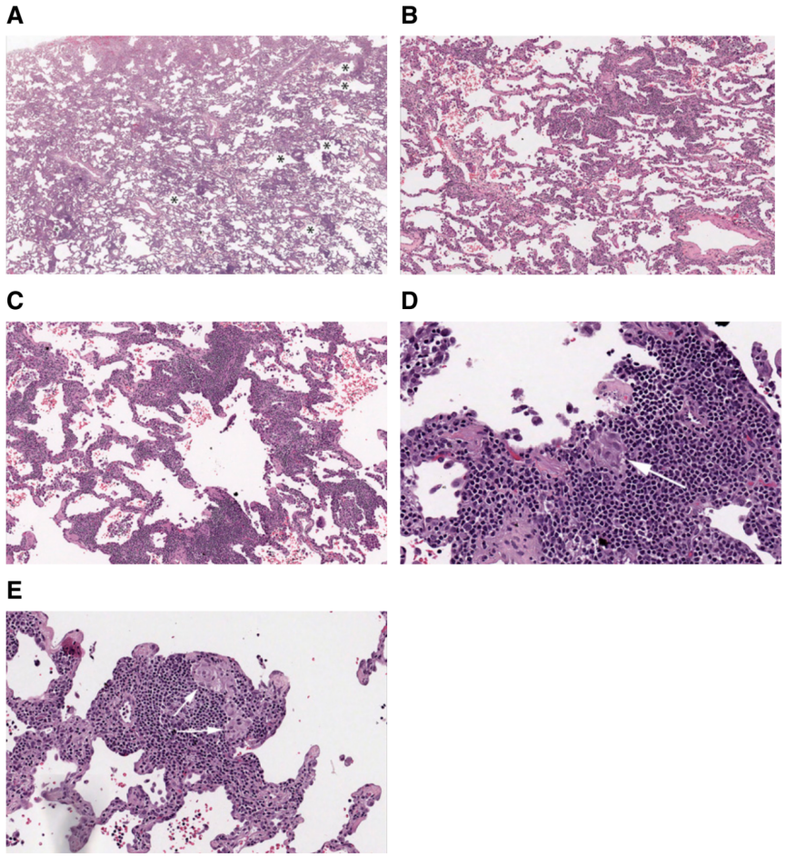
| 过敏性肺炎(HP)是一种累及肺实质和小气道的炎性和/或纤维性疾病,易感人群暴露于已知或未知抗原后,诱发机体细胞免疫和体液免疫介导肺部炎症反应。随着致病抗原暴露频率、持续时间和强度的不同,HP的严重程度、临床表现及自然病程复杂多变,而不是一种单一的疾病。由于缺乏HP的临床实践指南,不同国家和地区对于HP的诊断标准难以达成共识,许多临床医师仍然在沿用30年前的HP临床评估指南[1]。为此,美国胸科协会(ATS)联合日本呼吸学会(JRS)以及拉丁美洲胸科协会(ALAT)在今年共同发布了《2020版成人过敏性肺炎诊断指南》[2]。千呼万唤始出来,今天小编就来带大家一起来看看这版HP诊断指南究竟有何独到之处。多年来,大家一直沿用1989年的HP临床评估指南,将HP分为急性、亚急性和慢性HP,此后很多学者提出了其他几种不同的分类方法,但由于HP的临床表现和病程有很大的差异和重叠,这些分类方法都不能完全令人满意。Vasakova等[3]在2017年提出将HP分为急性/炎症性HP和慢性/纤维性HP。急性/炎症性HP的症状持续时间不到6个月、病变可逆且影像学表现以磨玻璃阴影为主;慢性/纤维性HP的症状持续时间超过6个月、病变相对不可逆、进展几率更大且影像学显示网状影和蜂窝征。由于影像学和组织病理学是否出现纤维化是决定HP预后的首要因素,2020版HP诊断指南将HP分为两种类型:非纤维性HP(单纯炎性病变)和纤维性HP(炎性病变合并纤维化或单纯纤维化)。尽管非纤维性HP通常起病较急,而纤维性HP起病更为隐匿,但是两者在临床表现上并没有严格的差异,存在一定的重叠,鉴别两种类型的关键在于放射影像学和组织病理学上的差异。HP的放射影像学特征取决于诊断时所处的疾病阶段,HRCT的表现因组织病理学的改变而不同,但是HRCT的特征性表现是以中上肺野为主的小叶中心性磨玻璃样或结节样不透光区伴空气潴留征。非纤维性HP在HRCT上的典型表现为同时存在肺实质浸润征象和小气道疾病,通常累及双侧肺野且呈弥漫性对称分布。HRCT的肺实质浸润征象包括磨玻璃样不透光区(GGO)和马赛克衰减。小气道疾病则包括边界不清的小叶中央型小结节(<5mm)和空气潴留征(比较吸气相与呼气相的图像可证实空气潴留征)。纤维性HP在HRCT上的典型表现为同时存在肺纤维化和小气道疾病,主要分布于中上肺野,下肺野相对正常。肺纤维化在HRCT上的特征包括小叶间隔增厚、牵拉性支气管扩张和蜂窝征,相比特发性肺纤维化(IPF),其主要位于肺底的情况较少见。小气道疾病则包括小叶中央型小结节(<5 mm)和/或GGO、马赛克衰减、肉皮冻征和/或空气潴留征(通常位于小叶分布区)。  (图1 HP的HRCT特征:A-小叶中央型结节;B-吸气相马赛克衰减;C-呼气相空气潴留征;D-GGO和囊性变;E-随机分布的蜂窝征;F-小气道疾病;G-上肺分布为主的蜂窝征;H-支气管血管束分布的蜂窝征;I-磨玻璃密度衰减与小气道疾病同时存在)肺活检在明确诊断HP中发挥了至关重要的作用,病理标本的获取方式包括经支气管肺活检(TBLB)、经支气管冷冻活检(TBLC)以及手术肺活检(SLB)。非纤维性HP和纤维性HP的关键差异在于组织病理学上有无纤维化表现。典型非纤维性或细胞性HP通常至少1处活检组织病理提示以下3种特征:1、细胞性间质性肺炎:细胞性NSIP的特征、淋巴细胞浸润为主;
2、细胞性细支气管炎:支气管周围淋巴细胞浸润为主(淋巴细胞>浆细胞)±机化性肺炎的特征±泡沫状巨噬细胞;3、松散的非坏死性肉芽肿:疏松分布的上皮细胞和/或多核巨细胞、位于呼吸性细支气管或终末细支气管处。
 (图2 非纤维性HP的组织病理学特征:A-细胞性间质性肺炎;B-细支气管周围单核炎症细胞浸润;C-细胞性细支气管炎;D-松散的非坏死性肉芽肿;E-松散的非坏死性肉芽肿)典型纤维性HP通常在至少1个活检部位组织病理满足3以及1或2:1、慢性纤维性间质性肺炎:结构扭曲的成纤维细胞灶±胸膜下蜂窝征、纤维性NSIP的特征;
2、气道中心性纤维化病变±细支气管周围化生±桥接纤维化;3、松散的非坏死性肉芽肿±细胞间质性肺炎±细胞性细支气管炎±机化性肺炎的特征
 (图3 纤维性HP的组织病理学特征:A-结构扭曲的成纤维细胞灶;B-胸膜下蜂窝征;C-细支气管周围单核炎症细胞浸润;D- Schaumann小体(碎片化、不规则、钙化、嗜碱性的折光结构);E- Schaumann小体;F-非纤维性HP的特征)由于HP有许多其他急性或慢性肺疾病的特征,并且临床表现和病程复杂多变,尤其是纤维性/慢性HP容易被误诊为IPF或其他特发性间质性肺炎,临床医生需要对该病高度警惕。随着大家对间质性肺疾病了解更加深入,HP的诊断标准也在不断更新,目前仍不确定确切的诊断标准和诊断性检查的最佳选择方法,但总体上取决于个体患者的综合表现。2020版HP诊断指南对于HP的诊断评估流程进行了详细介绍,并且根据HP类型的不同给出了相应的推荐和建议。尽管进行了详细的病史询问,仍有高达60%的HP患者无法明确暴露原。调查问卷相比于单独的临床病史询问能够更加系统的识别HP的致病抗原,然而目前并没有能够实现这一价值的标准化问卷。因此2020版指南对于非纤维性HP和纤维性 HP的患者,均不推荐使用调查问卷来明确HP的致病抗原,而是建议通过详细的病史询问来明确环境中与HP相关的致病抗原,直到有系统识别价值的标准化问卷出现。除了询问详细的暴露史外,许多潜在抗原可采用针对特定IgG抗体的血清学试验来检测,但其诊断价值仍有争议,因为无症状的暴露个体可出现阳性结果,而阴性结果也不能排除HP。尽管如此,特定IgG抗体的血清学试验结果可以当作是否暴露的证据,有助于区分HP和其他非过敏性间质性肺疾病。因此,新版指南对于非纤维性HP和纤维性 HP的患者,均建议进行血清学IgG抗体检测以明确与HP相关的致病抗原。对于疑似HP患者,支气管肺泡灌洗(BAL)是检测肺泡炎的最敏感工具,健康不吸烟成人的BALF淋巴细胞比例为10%-15%。研究表明,支气管肺泡灌洗液(BALF)淋巴细胞比例>30%有助于区分非纤维性HP与结节病以及区分纤维性HP与IPF和结节病。新版指南对于非纤维性HP和纤维性 HP的患者,均推荐获取支气管肺泡灌洗液(BALF)进行淋巴细胞细胞分析。▎组织病理标本的获取 上文提到,HP的组织病理标本的获取方式包括经支气管肺活检(TBLB)、经支气管冷冻活检(TBLC)以及手术肺活检(SLB)。经支气管肺活检(TBLB)所获取的活检标本小,非纤维性HP病变的小叶中心分布可增加检出率,但纤维性HP检出率较低,不一定能确诊。经支气管冷冻活检(TBLC)采用冷冻探针来获取组织标本,其标本比TBLB标本大,但比手术肺活检标本小。对于弥漫性实质性肺疾病,TBLC的诊断准确度与手术肺活检接近。因此,对于非纤维性HP的患者,2020版指南建议选择经支气管肺活检,而不建议选择经支气管冷冻活检,仅当所有其他诊断方法无法明确诊断时进行手术肺活检。而对于纤维性 HP的患者,指南不建议进行经支气管肺活检,而是建议进行经支气管冷冻活检,当所有其他诊断方法无法明确诊断时进行手术肺活检。若经过以上评估仍然不能明确HP的诊断,则需要放射影像学专家和病理学专家进行多学科合作,以确立诊断。 总的来说,2020版HP诊断指南最大的更新在于提出了一种新的HP分类方法,并且对两种类型HP在放射影像学和组织病理学上的特征进行了详细介绍。不过这种分类方法和传统分类方法究竟孰优孰劣,还有待于后续临床实践进一步验证。1、J Allergy Clin Immunol. 1989;84(5 Pt 2):839-44. 2、Am J Respir Crit Care Med. 2020;202(3):e36-e69.3、Am J Respir Crit Care Med. 2017;196(6):680. |
声明:
1、凡本网注明“来源:小桔灯网”的所有作品,均为本网合法拥有版权或有权使用的作品,转载需联系授权。
2、凡本网注明“来源:XXX(非小桔灯网)”的作品,均转载自其它媒体,转载目的在于传递更多信息,并不代表本网赞同其观点和对其真实性负责。其版权归原作者所有,如有侵权请联系删除。
3、所有再转载者需自行获得原作者授权并注明来源。