立即注册找回密码

QQ登录

只需一步,快速开始

微信登录

微信扫一扫,快速登录

搜索
小桔灯网 门户 资讯中心 感染诊疗 新冠防控 查看内容

重大发现,穿山甲!可能是新冠病毒中间宿主,分离毒株相似度达99%!专家解读来了

2020-2-8 14:58| 编辑: 面气灵| 查看: 3116| 评论: 0|来源: 第一财经

摘要: 新型冠状病毒到底是如何从野生动物传到人的身上的?2月7日,华南农业大学对外发布消息称,华南农业大学、岭南现代农业科学与技术广东省实验室沈永义教授、肖立华教授等科研人员联合中国人民解放军军事科学院军事医学 ...

新型冠状病毒到底是如何从野生动物传到人的身上的?


2月7日,华南农业大学对外发布消息称,华南农业大学、岭南现代农业科学与技术广东省实验室沈永义教授、肖立华教授等科研人员联合中国人民解放军军事科学院军事医学研究院杨瑞馥研究员及广州动物园科研部陈武高级兽医师开展的最新研究表明,穿山甲为新型冠状病毒潜在中间宿主。



上述的研究者之一,沈永义目前主要从事分子病毒生态学,进化基因组学,生物信息学的研究,目前承担的科研项目有三个,分别是禽流感病毒进化生物学、华南地区主要野生动物携带病毒谱调查研究、蝙蝠独特暗视觉系统的分子遗传机制研究,其中,前两个项目还在研究当中,第三个已结题。


新型冠状病毒属于β属的新型冠状病毒,有包膜,颗粒呈圆形或椭圆形,常为多形性,直径60~140nm。其基因特征与SARSr-CoV和MERSr-CoV有明显区别。目前研究显示与蝙蝠SARS样冠状病毒(bat-SL-CoVZC45)同源性达85%以上。


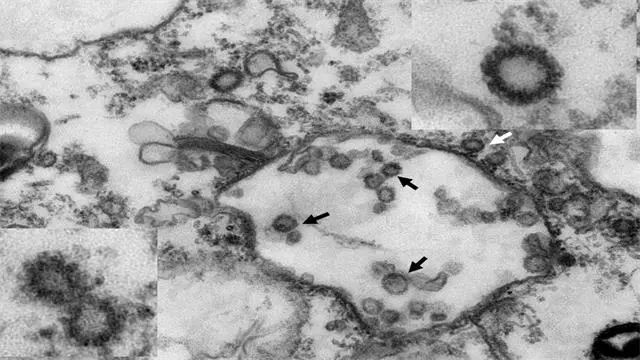
从穿山甲分离的新型冠状病毒电镜照片 华南农业大学供图


在2月7日的发布会上,华南农业大学校长刘雅红介绍称,通过分析1000多份宏基因组样品,锁定穿山甲为新型冠状病毒的潜在中间宿主;继而通过分子生物学检测,揭示穿山甲中β冠状病毒的阳性率为70%;进一步对病毒进行分离鉴定,电镜下观察到典型的冠状病毒颗粒结构;最后通过对病毒的基因组分析,发现分离的病毒株与目前感染人的毒株序列相似度高达99%,以上结果表明穿山甲为新型冠状病毒的潜在中间宿主。研究结果对本次疫情的源头防控具有重大意义,也对野生动物管控的相关政策调整提供科学依据。


“新型冠状病毒疫情爆发后,对于病毒潜在发生过程,大家对有可能的动物来源都比较感兴趣。最初,病毒是源于蝙蝠,从蝙蝠又怎样传到人的身上?中间的宿主是谁?过去SARS病毒的中间宿主是经过果子狸;埃博拉病毒则被认为是通过骆驼。现有的研究显示,新型冠状病毒有可能是来源于野生动物,原因在于早期发现的病例,都有华南海鲜市场接触史。这个市场也被检出该病毒。而这个市场除了卖海鲜外,还有其他动物。围绕冠状病毒溯源,我们开展了溯源工作,我们通过对多种动物进行了分析,最后锁定穿山甲为新型冠状病毒的潜在中间宿主。我们这一结果有利于阻断病毒动物源,避免病毒的长期传播,促进新型冠状病毒的源头防控。”肖立华说道。



值得一提的是,关于新型冠状病毒的中间宿主问题,在此之前也有其他讨论。


如来自于北京大学工学院教授朱怀球团队在bioRxiv预印版平台发表“深度学习算法预测新型冠状病毒的宿主和感染性”一文中指出,蝙蝠和水貂可能是新型冠状病毒的两个潜在宿主,水貂可能是中间宿主。


再如北大另一中国科研团队的一篇发表在《医学病毒学》杂志上的论文也指出,将新型冠状病毒的中间宿主锁定为蛇。该文章通过对新型冠状病毒的基因序列进行研究,发现该病毒的一段基因组发生了同源重组,为了寻找这段同源重组的基因组到底来自于哪个动物,研究组对武汉海鲜市场常见的一些动物,包括蛇、鸡、穿山甲、蝙蝠和旱濑等的基因密码都测了一遍,最后得出结论认为蛇是最有可能的中间宿主。


“鉴于当前疫情防控的严峻性,我们选择将研究结果在第一时间向社会公布,希望有助于疫情的科学防控,并为更多科学家开展进一步工作提供借鉴。”刘雅红表示。


潜在“中间宿主”背后的非法贸易


穿山甲为国家二级保护动物。据不完全统计,20世纪60年代至今,我国野生穿山甲的数量已经下降了88.88%至94.12%。我国华南地区原有的穿山甲分布区,至少有50%以上已成为罕见或濒危绝迹的地区。


有专家介绍,目前,国内的穿山甲种群已商业性灭绝,国际上非法贩卖的穿山甲,大部分是为了满足亚洲消费者的食用和药用需求。


据国家林草局森林公安之前提供的情况通报,在我国,穿山甲被禁止违法捕杀和食用。然而在利益的驱使下,仍有人仍铤而走险,甚至将穿山甲做成私房菜。


穿山甲被禁止违法捕杀和食用。资料来源:森林公安


据第一财经记者了解,为加强对穿山甲的保护,我国已于2007年停止一切从野外猎捕穿山甲活动,并从2018年10月起全面停止商业性进口穿山甲及其制品。


国家林草局也通过打击野生动植物非法贸易部际联席会议制度,开展专项打击行动等加大对破坏野生动物资源犯罪的打击力度。


2019年8月,在穿山甲救护专家座谈会上,有关方面表示,正研究将穿山甲由国家二级保护野生动物提升至国家一级予以保护。

声明:
1、凡本网注明“来源:小桔灯网”的所有作品,均为本网合法拥有版权或有权使用的作品,转载需联系授权。
2、凡本网注明“来源:XXX(非小桔灯网)”的作品,均转载自其它媒体,转载目的在于传递更多信息,并不代表本网赞同其观点和对其真实性负责。其版权归原作者所有,如有侵权请联系删除。
3、所有再转载者需自行获得原作者授权并注明来源。

最新评论

关闭

官方推荐 上一条 /3 下一条

客服中心 搜索 洽谈合作
返回顶部