立即注册找回密码

QQ登录

只需一步,快速开始

微信登录

微信扫一扫,快速登录

搜索
小桔灯网 门户 资讯中心 肿瘤诊疗 查看内容

NGS指导下的肺癌精准治疗案例解析与思考

2019-12-31 11:14| 编辑: 面气灵| 查看: 5947| 评论: 0|来源: 肿瘤资讯

摘要: 10余年来,晚期NSCLC靶向及免疫治疗发展迅速。相比于肺腺癌,肺鳞癌患者常见驱动基因突变发生率低,使用大Panel NGS检测进行更全面的基因图谱探索,有助于发现潜在的用药靶点和治疗机会,助力个体化精准治疗。同时, ...

10余年来,晚期NSCLC靶向及免疫治疗发展迅速。相比于肺腺癌,肺鳞癌患者常见驱动基因突变发生率低,使用大Panel NGS检测进行更全面的基因图谱探索,有助于发现潜在的用药靶点和治疗机会,助力个体化精准治疗。同时,大Panel NGS检测还可以提供TMB以及其他免疫治疗正负相关基因,指导免疫治疗。以下分享一例来自上海交通大学医学院附属瑞金医院高蓓莉教授团队的局部晚期肺鳞癌,接受大Panel NGS检测后,接受免疫治疗联合化疗的病例,并邀请东部战区总医院宋勇教授对该病例进行点评。

               
宋勇 教授

东部战区总医院呼吸与危重症医学科主任
肺癌中心主任
南京大学呼吸病学研究所所长
专业技术三级
中央军委保健委员会会诊专家
南京大学、南方医科大学、第二军医大学、南京医科大学博士研究生导师
解放军医学会呼吸内科专业委员会副主任委员
中华医学会呼吸分会全国委员(中华医学会呼吸分会肺癌学组委员)
江苏省医学会呼吸病分会副主任委员兼肺癌学组组长
南京医学会呼吸分会主任委员  
中国临床肿瘤协会(CSCO)理事、中国抗癌协会肺癌专业委员会常委
《Translational Lung Cancer Research》杂志(PubMed、SCI收录)主编、《中华医学杂志》编委、《医学研究生学报》副主编等国内外学术期刊编委等 

               
高蓓莉 主任医师、教授

上海交通大学医学院附属瑞金医院呼吸内科
中华医学会呼吸病学分会全国肺癌学组委员
上海医学会肺科学会肺癌学组副组长
中国医药教育协会肺部肿瘤专委会常务委员
上海市抗癌协会肺癌分子靶向与免疫治疗专业委员会常务委员
中国医师协会内镜医师分会全国专家委员
中国医疗保健国际交流促进会胸部肿瘤分会委员
中华医学会上海医学会呼吸内科学组委员
上海市医学会肿瘤学会胸部肿瘤学组委员
上海市抗癌协会胸部肿瘤专业委员会委员
欧洲肿瘤内科学会( ESMO )会员,世界肺癌研究协会(IASLC)会员
任肿瘤学年鉴Annals of Oncology,中文版肺癌专刊编委

病史简介

1. 基本情况:患者王某,男性,70岁。因“反复咳嗽咳痰3年余,加重1年,间断痰血10天”入院;2016年3月曾因“重症肺炎”于ICU诊治,当时肺功能及胸部CT影像学诊断COPD,并长期LABA吸入治疗;2019年6月开始,出现痰中带血,每日约20口,总量约5ml,后逐渐自行缓解,近20天再无痰血症状。

2. 既往史:高血压15年,糖尿病20年;个人史:吸烟45年,20支/天,未戒;

3. 入院诊断:咯血(待查);COPD(稳定期,B组);高血压(III级,极高危);2型糖尿病。

4. 肿瘤标志物检查:CEA 18.48↑ng/mL,NSE 19.06↑ng/mL,cyfra-211 8.59↑ng/mL,SCC2.90↑ng/mL。

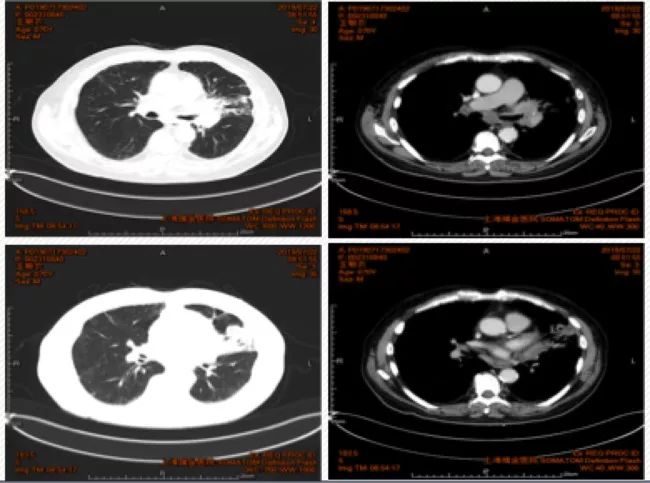
5. 胸部CT检查示:左肺门区可见团块状软组织密度影,截面大小约为3.7cm*2.4cm。

图1. 胸部CT检查

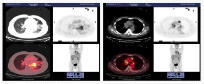
6. PET/CT检查示:左肺门代谢增高团块影,考虑恶性病变,下叶局部胸膜增厚,伴代谢增高,转移性病变可能,双肺门代谢增高,考虑转移性病变;右锁骨上、下,纵隔多发淋巴结肿大伴代谢增高,考虑转移性病变。

图2. PET/CT检查

7. 纤支镜左肺下叶新生物活检病理:鳞状上皮重度异型增生;免疫组化示:鳞状上皮原位癌,异型细胞AE1/AE3(+),P40(+),P63(+),CK5/6(+),Ki67(热点区约60%+),ALK(D5F3)(-),SYN(-),CgA(-),CD56(-),TTF-1(-),CK7(-)。PD-L1表达:组织1中PD-L1(22C3)TPS<1%;组织2中PD-L1(22C3)TPS约10%。

8. 行基因检测(小Panel NGS)均为野生型(EGFR、ALK、ROS1、RET、BRAF、KRAS、HER2、PIK3CA、MET);c-MET扩增阴性。再次行FoundationOne CDx全面基因组测序:TMB 10 mut /Mb,PIK3CA扩增、HGF扩增、Sox2扩增。

9. 诊断:支气管或肺恶性肿瘤(左肺鳞癌),cT2N3M0,IIIB期,TMB 10mut/Mb,PIK3CA扩增,PS评分1分。

10. 治疗:给予白蛋白紫杉醇+卡铂+帕博利珠单抗治疗2个周期后,行同步放疗。

11. 复查评估:9月23日复查PET/CT显示左肺门高代谢团块,考虑恶性病变,与2019年7月24日全身PET/CT比较,大小相仿,代谢增高;双侧胸腔见少量积液;双侧背部胸膜增厚;纵膈、双肺门及右锁骨上高代谢肿大淋巴结,与前片比较,大小相仿,代谢增高;左肺上叶结节,边缘毛刺,代谢增高;右肺上叶磨玻璃结节,代谢不高;双肺肺气肿,双肺下叶及右肺中叶间质性改变,评估结果为SD。

图3. 2019年9月23日PET/CT

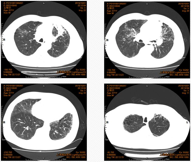
12. 治疗方案:继续白蛋白紫杉醇+卡铂+帕博利珠单抗治疗;经胸外科/放疗科MDT讨论:行同步放化疗,治疗结束评估是否可行手术治疗;2019年9月27日行第一次放疗定位。最新复查评估时间为11月13日,评估结果为SD。

图4. 2019年10月1日胸部CT

病史小结

老年男性,重度吸烟者,PS评分1分。合并COPD,且症状控制不佳,以“近1年咳嗽、咳痰逐渐加重,间断咯血10余天”为主诉入院,胸部CT发现左肺门肿物,PET/CT检查发现左肺门肿物伴纵隔多发淋巴结肿大。穿刺活检为鳞癌,小Panel基因检查均为野生型,FoundationOne CDx全面基因组测序:TMB 10 mut/Mb,PIK3CA扩增。诊断为:支气管或肺恶性肿瘤(左肺鳞癌),cT2N3M0, IIIB期,TMB 10 mut/Mb,PIK3CA扩增。给予白蛋白紫杉醇+卡铂+帕博利珠单抗治疗,行同步放疗。复查PET/CT评估结果为SD。继续白蛋白紫杉醇+卡铂+帕博利珠单抗治疗,行同步放化疗,治疗结束评估是否可行手术治疗。

专家点评

这是一例老年男性,重度吸烟患者,临床诊断为左肺鳞癌,cT2N3M0, IIIB期。虽然患者属于局部晚期,但应该作为晚期患者来处理。对于晚期鳞癌患者,过去几十年,我们一直没有取得突破性进展,直到免疫治疗问世。目前,肺鳞癌的免疫治疗,可谓在探索中前行。对于这例患者的治疗,存在以下思考:

第一,进行大Panel NGS检测,对于肺鳞癌患者的治疗具有重要的价值和意义。相比于肺腺癌,肺鳞癌患者常见驱动基因突变发生率低,使用更大Panel NGS检测,有助于发现其他潜在的用药靶点和治疗机会。同时,大Panel检测还可以提供TMB以及其他正负相关基因,可以用于免疫治疗疗效的预测和参考。正如该例患者,初始行小Panel基因检查均为野生型,再次行FoundationOne CDx全面基因组测序后发现TMB 10 mut/Mb,PIK3CA扩增,提示可考虑接受免疫治疗。此外,其治疗方案的制定亦结合了当前的循证医学证据。在CheckMate 568研究中,采用纳武利尤单抗联合小剂量伊匹木单抗用于治疗晚期或转移性的NSCLC一线治疗。结果显示,根据TMB进行分组,TMB≥10mut/Mb的患者客观缓解率(ORR)为44%,对比TMB<10mut/Mb的患者,ORR仅为12%,两组的PFS分别为7.1个月vs2.6个月。且无论患者的PD-L1表达水平,TMB高组的疗效均优于TMB低组。KEYNOTE 407研究在评估了帕博利珠单抗联合化疗一线用于Ⅳ期肺鳞癌患者,相比较单纯化疗,显著改善总生存(OS),HR=0.64,不论PD-L1表达水平。因此,基于当前循证医学证据与检测结果等多角度的参考,给予免疫治疗。

第二,大Panel NGS检测对于晚期NSCLC患者具有重要的价值和意义。CSCO新鲜出炉的中国NGS临床实践调研报告显示,不考虑经济因素,46.5%医生会在一线推荐使用大Panel NGS。随着NGS检测技术不断完善,价格不断下调,尤其是未来NMPA(国家药品监督管理局)批准大Panel的检测进入医保以后,将会有更多的医生选择在一线做NGS,尤其是大Panel NGS的检测。相比于单基因检测,大Panel优势在于发现更多原发耐药突变、罕见突变、复合突变,最大化分子病理全景信息,指导医生制定更精准的治疗策略,同时深入理解耐药机制。

参考文献

1. Lee JK, et al. Clonal history and genetic predictors of transformation into small cell carcinomas from lung adenocarcinoma. J Clin Oncol. 2017 Sep 10;35(26):3065-3074.

2. Michael Offin, et al. Clinical and molecular characteristics of EGFR-mutant lung cancers with concurrent TP53 and RB1 mutations.


声明:
1、凡本网注明“来源:小桔灯网”的所有作品,均为本网合法拥有版权或有权使用的作品,转载需联系授权。
2、凡本网注明“来源:XXX(非小桔灯网)”的作品,均转载自其它媒体,转载目的在于传递更多信息,并不代表本网赞同其观点和对其真实性负责。其版权归原作者所有,如有侵权请联系删除。
3、所有再转载者需自行获得原作者授权并注明来源。

最新评论

关闭

官方推荐 上一条 /3 下一条

客服中心 搜索 洽谈合作
返回顶部