立即注册找回密码

QQ登录

只需一步,快速开始

微信登录

微信扫一扫,快速登录

搜索
小桔灯网 门户 资讯中心 感染诊疗 查看内容

磨玻璃影?警惕9大感染性疾病

2019-5-6 00:07| 编辑: 木吉火丁| 查看: 3647| 评论: 0|来源: 医学界影像诊断与介入频道

摘要: GGO即磨玻璃样不透光影,是一种肺部CT征象。讲者 | 何之彦来源 | 医学界影像诊断与介入频道GGO(ground-grassopacity)即磨玻璃样不透光影,是一种肺部CT征象。呈肺内半透明状密度增高影,密度低,CT值通常为负值, ...


GGO即磨玻璃样不透光影,是一种肺部CT征象。


讲者 | 何之彦

来源 | 医学界影像诊断与介入频道


GGO(ground-grass opacity)即磨玻璃样不透光影,是一种肺部CT征象。呈肺内半透明状密度增高影,密度低,CT值通常为负值,其中可见肺纹理(肺动静脉血管影)。主要分为弥漫性GGO和局限性GGO。后者形似结节又称为磨玻璃结节(GGN),GGN根据内部密度又分为两种,即单纯性GGN(非实性结节)和混合性GGN(部分性实性结节)。


今天,我们主要介绍的是弥漫性GGO。弥漫性GGO的出现高度提示肺组织疾患的活动性,通常为可逆性。


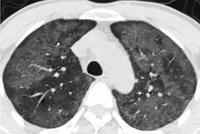
男,46岁,弥漫性GGO,双肺都是单片密度增高,呈半透明状,可见血管穿行其中。系病毒感染水肿炎性浸润所致,不属于肺结节。




GGO病理生理


肺实质是与换气结构相关的结构,主要是肺泡;肺间质是支架结构和与液体交换相关的结构,主要分布在:支气管动脉鞘(肺动脉周围)、肺泡间隔、小叶间隔及肺静脉周围和脏层胸膜下。


图解:次级肺小叶直径约10-25 mm,由3-24个腺泡构成,腺泡直径约6-10 mm,包含终末细支气管、肺泡管、肺泡囊、肺泡和伴随的血管淋巴管、结缔组织。


GGO的本质主要是肺间质改变,亦有肺实质病变参与。


1)肺泡壁间质增厚:因肺水肿、肺血流灌注异常(肺栓塞、肺血管炎)及间质纤维化,细胞堆积,局部含水量组织量增加使密度增高。


图解:急性肺水肿:肺泡壁水肿(*),肺泡间隙水肿(箭),玻璃样变(箭头)


2)肺泡腔塌陷、肺泡容积减小致含气量下降:因胸膜下间质增厚、小叶间隔及肺泡间隔肺纤维化限制了肺泡的扩张,或肺泡上皮II型细胞分泌的肺泡表面活性物质减少导至肺泡膨胀不全,使透明度下降。


图解:机化性肺炎,51岁女性,有风湿病病史,CT显示双肺下叶实变并下叶容积缩小。病理图显示纤维化致肺泡间隔增宽,肺泡腔缩小。


3)肺泡腔内气体被部分置换:因液体(渗出液、漏出液、出血)、纤维性渗出、附壁生长的细胞或脱落的细胞、受损细胞碎片等,部分或间叉充填肺泡使肺透明度下降。气体被完全置换则为肺实变。


图解:图a表示机化的纤维充填在肺泡腔内(箭头),图b表示广泛累积肺间质(*)


声明:
1、凡本网注明“来源:小桔灯网”的所有作品,均为本网合法拥有版权或有权使用的作品,转载需联系授权。
2、凡本网注明“来源:XXX(非小桔灯网)”的作品,均转载自其它媒体,转载目的在于传递更多信息,并不代表本网赞同其观点和对其真实性负责。其版权归原作者所有,如有侵权请联系删除。
3、所有再转载者需自行获得原作者授权并注明来源。

最新评论

关闭

官方推荐 上一条 /3 下一条

客服中心 搜索 洽谈合作